AChE antibody [HL1102]

Cat. No. GTX636298
Cat. No.  GTX636298
Anti-AChE antibody [HL1102] used in Western Blot (WB). GTX636298
GTX636298 WB Image

Various tissue extracts (50 μg) were separated by 7.5% SDS-PAGE, and the membranes were blotted with AChE antibody [HL1102] (GTX636298) diluted at 1:1000 and competitor's antibody (competitor) diluted at 1:1000. The HRP-conjugated anti-rabbit IgG antibody (GTX213110-01) was used to detect the primary antibody.

*The competitor is not affiliated with GeneTex and does not endorse this product.

1 / 9
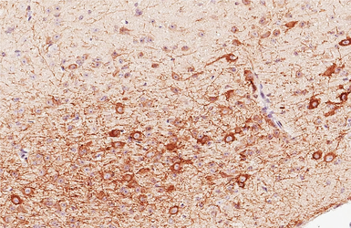
Anti-AChE antibody [HL1102] used in IHC (Paraffin sections) (IHC-P). GTX636298
GTX636298 IHC-P Image

AChE antibody [HL1102] detects AChE protein by immunohistochemical analysis.
Sample: Paraffin-embedded mouse brain.
AChE stained by AChE antibody [HL1102] (GTX636298) diluted at 1:1000.
Antigen Retrieval: Citrate buffer, pH 6.0, 15 min

2 / 9
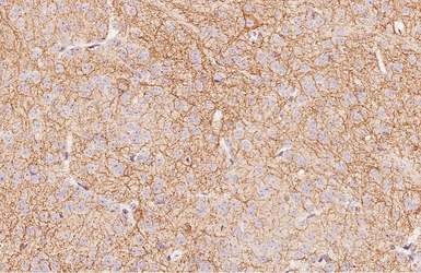
Anti-AChE antibody [HL1102] used in IHC (Paraffin sections) (IHC-P). GTX636298
GTX636298 IHC-P Image

AChE antibody [HL1102] detects AChE protein by immunohistochemical analysis.
Sample: Paraffin-embedded mouse basal forebrain.
AChE stained by AChE antibody [HL1102] (GTX636298) diluted at 1:1000.
Antigen Retrieval: Citrate buffer, pH 6.0, 15 min

3 / 9
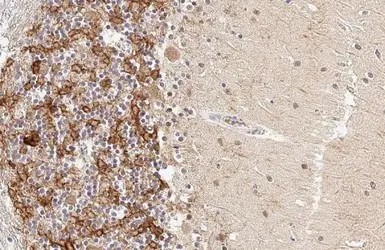
Anti-AChE antibody [HL1102] used in IHC (Paraffin sections) (IHC-P). GTX636298
GTX636298 IHC-P Image

AChE antibody [HL1102] detects AChE protein by immunohistochemical analysis.
Sample: Paraffin-embedded mouse nucleus accumbens.
AChE stained by AChE antibody [HL1102] (GTX636298) diluted at 1:1000.
Antigen Retrieval: Citrate buffer, pH 6.0, 15 min

4 / 9
Anti-AChE antibody [HL1102] used in Western Blot (WB). GTX636298
GTX636298 WB Image

Various tissue extracts (50 μg) were separated by 7.5% SDS-PAGE, and the membrane was blotted with AChE antibody [HL1102] (GTX636298) diluted at 1:1000. The HRP-conjugated anti-rabbit IgG antibody (GTX213110-01) was used to detect the primary antibody.

5 / 9
Anti-AChE antibody [HL1102] used in Immunocytochemistry/ Immunofluorescence (ICC/IF). GTX636298
GTX636298 ICC/IF Image

AChE antibody [HL1102] detects AChE protein at endoplasmic reticulum by immunofluorescent analysis.
Sample: HeLa cells were fixed in 4% paraformaldehyde at RT for 15 min.
Green: AChE stained by AChE antibody [HL1102] (GTX636298) diluted at 1:500.
Red: alpha Tubulin, a cytoskeleton marker, stained by alpha Tubulin antibody [GT114] (GTX628802) diluted at 1:1000.
Blue: Fluoroshield with DAPI (GTX30920).
Scale bar= 10μm.

6 / 9
Anti-AChE antibody [HL1102] used in Western Blot (WB). GTX636298
GTX636298 WB Image

Human tissue extract (30 μg) was separated by 7.5% SDS-PAGE, and the membrane was blotted with AChE antibody [HL1102] (GTX636298) diluted at 1:500. The HRP-conjugated anti-rabbit IgG antibody (GTX213110-01) was used to detect the primary antibody, and the signal was developed with Trident ECL plus-Enhanced.

7 / 9
Anti-AChE antibody [HL1102] used in Western Blot (WB). GTX636298
GTX636298 WB Image

Various tissue extracts (50 μg) were separated by 7.5% SDS-PAGE, and the membrane was blotted with AChE antibody [HL1102] (GTX636298) diluted at 1:1000. The HRP-conjugated anti-rabbit IgG antibody (GTX213110-01) was used to detect the primary antibody.

8 / 9
Anti-AChE antibody [HL1102] used in Immunocytochemistry/ Immunofluorescence (ICC/IF). GTX636298
GTX636298 ICC/IF Image

AChE antibody [HL1102] detects AChE protein at dendrite by immunofluorescent analysis.
Sample: DIV9 rat E18 primary cortical neuron and glia cells were fixed in 4% paraformaldehyde at RT for 15 min.
Green: AChE stained by AChE antibody [HL1102] (GTX636298) diluted at 1:250.
Red: Tau, an axon marker, stained by Tau antibody [GT287] (GTX634809) diluted at 1:500.
Blue: Fluoroshield with DAPI (GTX30920).

9 / 9
Anti-AChE antibody [HL1102] used in Western Blot (WB). GTX636298
Anti-AChE antibody [HL1102] used in IHC (Paraffin sections) (IHC-P). GTX636298
Anti-AChE antibody [HL1102] used in IHC (Paraffin sections) (IHC-P). GTX636298
Anti-AChE antibody [HL1102] used in IHC (Paraffin sections) (IHC-P). GTX636298
Anti-AChE antibody [HL1102] used in Western Blot (WB). GTX636298
Anti-AChE antibody [HL1102] used in Immunocytochemistry/ Immunofluorescence (ICC/IF). GTX636298
Anti-AChE antibody [HL1102] used in Western Blot (WB). GTX636298
Anti-AChE antibody [HL1102] used in Western Blot (WB). GTX636298
Anti-AChE antibody [HL1102] used in Immunocytochemistry/ Immunofluorescence (ICC/IF). GTX636298
  • Host
    Rabbit
  • Clonality
    Monoclonal
  • Clone Name
    HL1102
  • Isotype
    IgG
  • Applications
    WB ICC/IF IHC-P
  • Reactivity
    Human, Mouse, Rat
See all AChE products