Immunohistochemistry (IHC) is an indispensable application routinely employed in academic and clinical research as well as in patient care. In addition to the quality of tissue section preparation, the pivotal component determining the reliability of IHC data is the suitability of the antibody used. This can only be assessed through strict and focused reagent validation for this assay.

 

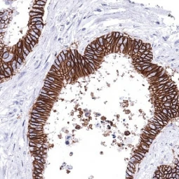
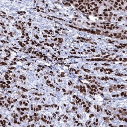
Gene Tex is proud to introduce its HistoMAX™ product line consisting of monoclonal antibodies specifically vetted for IHC. Each antibody in this collection has undergone a large-scale validation process, where thousands of candidates were rigorously screened across 1,000+ human tissue samples to identify only the most suitable antibodies.

 

To ensure unparalleled specificity and performance, these elite antibodies were further evaluated using formalin-fixed human normal tissues (upwards of 70 different sections) and cancer tissue arrays. Only antibodies that have passed these stringent performance criteria for IHC are added to the HistoMAX™ portfolio.

 

Advantages of HistoMAX™ Monoclonal Antibodies

  • All are monoclonal antibodies - consistent performance
  • Scrupulous validation - on human normal and cancer tissue samples
  • Unique documentation - galleries of tissue microarray testing images for your review
  • Optimized dilution and extensive protocols - for manual staining and autostainers

 

Please peruse the product listing below to identify the highly validated antibodies that you require for your IHC-based research.

 

 

See all related Products

 

 

 

Highlighted Products

 

Target

Cat. No. Clone Gallery

53BP1

GTX640556 HMV324

Normal

Cancer

ACE2

GTX04425 MSVA-919R

Normal

Cancer

Adenosine A1 Receptor GTX641402 H341

Coming soon

Coming soon

Androgen Receptor GTX04368 MSVA-367R

Normal

Cancer

Anterior Gradient 2 GTX640557 HMV325

Normal

Cancer

Arginase 1 GTX04426 MSVA-511R

Normal

Cancer

ATP5J GTX642297 HMV3971

Normal

Cancer

Bcl-XL GTX646253 HMV4724 Coming soon Coming soon
Brachyury GTX639945 HMV321

Normal

Cancer

BRD4 GTX643511 HMV4275 Normal Cancer
BRG1 GTX04486 MSVA-397R

Normal

Cancer

BSEP GTX644716 HMV4715 Coming soon Coming soon
CA19-9 GTX640565 HMV333

Normal

Cancer

Calbindin GTX04454 MSVA-471M Normal Cancer
Calbindin GTX640558 HMV326

Normal

Cancer

Caldesmon GTX04451 MSVA-538R Normal Cancer
Calponin 1 GTX04387 MSVA-455R Normal Cancer
Caspase 3 GTX639931 HMV307 Normal Cancer
CBP GTX639943 HMV319 Normal Cancer
CD1a GTX04407 MSVA-001M Normal Cancer
CD3 epsilon GTX04389 MSVA-003R Normal Cancer
CD4 GTX04379 MSVA-004R Normal Cancer
CD5 GTX04427 MSVA-005R Normal Cancer
CD7 GTX04390 MSVA-007R Normal Cancer
CD8 alpha GTX04391 MSVA-008R Normal Cancer
CD20 GTX04392 MSVA-020R Normal Cancer
CD22 GTX04393 MSVA-022R Normal Cancer
CD23 GTX04472 MSVA-023M Normal Cancer
CD27 GTX04394 MSVA-027M Normal Cancer
CD31 GTX04395 MSVA-031M Normal Cancer
CD32B GTX639939 HMV315 Normal Cancer
CD34 GTX04386 MSVA-034R Normal Cancer
CD38 GTX04967 MSVA-038R

Normal

Cancer

CD45 GTX04432 MSVA-045R Normal Cancer
CD45RA GTX04372 MSVA-472M Normal Cancer
CD66e GTX04399 MSVA-465R Normal Cancer
CD163 GTX04381 MSVA-163M Normal Cancer
CDH16 GTX04455 MSVA-516R Normal Cancer
CDKN2A / p16INK4a GTX04442 MSVA-016R Normal Cancer
Chromogranin A GTX04370 MSVA-380R Normal Cancer
Chromogranin C GTX643587 HMV4337 Coming soon Coming soon
Claudin 3 GTX639933 HMV309 Normal Cancer
COL4A1 GTX640559 HMV327 Normal Cancer
Collagen IV GTX04434 MSVA-704R Normal Cancer
CPA1 GTX04433 MSVA-601M Normal Cancer
C-Peptide GTX639928 HMV363 Normal Cancer
CTLA4 GTX04439 MSVA-152R Normal Cancer
CXCR7 GTX641403 H342

Coming soon

Coming soon

Cyclin E1 GTX04969 MSVA-898R

Normal

Cancer

Cystatin A GTX04453 MSVA-461M Normal Cancer
Cytokeratin 5 GTX04402 MSVA-605M Normal Cancer
Cytokeratin 6 GTX04403 MSVA-606R Normal Cancer
Cytokeratin 7 GTX04375 MSVA-607R Normal Cancer
Cytokeratin 10 GTX04401 MSVA-610M Normal Cancer
Cytokeratin 13 GTX04385 MSVA-613M Normal Cancer
Cytokeratin 14 GTX04377 MSVA-614R Normal Cancer
Cytokeratin 15 GTX04411 MSVA-615M Normal Cancer
Cytokeratin 18 GTX04374 MSVA-118R Normal Cancer
Cytokeratin 19 GTX04378 MSVA-119M Normal Cancer
Cytokeratin 20 GTX04376 MSVA-620R Normal Cancer
Decorin GTX04463 MSVA-537R Normal Cancer
Desmin GTX04410 MSVA-651M Normal Cancer
Desmoglein 1 GTX04464 MSVA-544M Normal Cancer
Desmoglein 3 GTX04468 MSVA-543M Normal Cancer
E-Cadherin GTX04367 MSVA-035R Normal Cancer
EGFRvIII GTX642029 HMV3805

Normal

Cancer

Elastase 3B GTX04445 MSVA-410M Normal Cancer
Elastin GTX04466 MSVA-648R Normal Cancer
EpCAM GTX04380 MSVA-326R Normal Cancer
Estrogen Receptor alpha GTX04474 MSVA-564R Normal Cancer
Factor XIIIa GTX04452 MSVA-813R Normal Cancer
GABA Transporter 1 / GAT1 GTX646001 HMV4721 Coming soon Coming soon
GAD65 GTX04477 MSVA-602M Normal Cancer
Galectin 3 GTX643586 HMV4336 Coming soon Coming soon
GATA3 GTX04420 MSVA-450M Normal Cancer
GFAP GTX645998 HMV4718 Coming soon Coming soon
Glucocorticoid Receptor GTX639927 HMV304 Normal Cancer
GluT1 GTX04469 MSVA-401R Normal Cancer
Glutamine synthetase GTX04471 MSVA-750M Normal Cancer
GP2 GTX04436 MSVA-475M Normal Cancer
GPM6A GTX642299 HMV3973

Normal

Cancer

GPRC5A GTX645997 HMV4717 Coming soon Coming soon
GPX2 GTX639924 HMV301 Normal Cancer
Helicobacter pylori Catalase GTX04479 MSVA-466M Normal Cancer
Hepatocyte Specific Antigen GTX04478 MSVA-OCE5 Normal Cancer
Her2 / ErbB2 GTX04428 MSVA-340R Normal Cancer
Histone H3 GTX04421 MSVA-903M Normal Cancer
HLA-DRA GTX04429 MSVA-470R Normal Cancer
HLA-DRB1 GTX04457 MSVA-478R Normal Cancer
HMGA2 GTX639938 HMV314 Normal Cancer
HMGB1 GTX639941 HMV317 Normal Cancer
Iba1 GTX04465 MSVA-955M Normal Cancer
Inhibin alpha GTX04415 MSVA-561R Normal Cancer
INSM1 GTX04423 MSVA-456R Normal Cancer
Insulin GTX639932 HMV308 Normal Cancer
Kallikrein 7 GTX04475 MSVA-707M Normal Cancer
KAP1 GTX640915 HMV335 Normal Cancer
KDM6A GTX639935 HMV311 Normal Cancer
Ki67 GTX04361 MSVA-267M Normal Cancer
Kiss1 GTX642298 HMV3972

Normal

Cancer

Ku80 GTX04480 MSVA-880M Normal Cancer
Lamin B1 GTX645999 HMV4719 Coming soon Coming soon
L-FABP GTX04448 MSVA-501M Normal Cancer
LI-Cadherin GTX04447 MSVA-517M Normal Cancer
Mammaglobin A GTX04406 MSVA-457R Normal Cancer
MCM2 GTX04968 MSVA-502R

Normal

Cancer

MCM3 GTX04424 MSVA-503M Normal Cancer
MCM7 GTX04444 MSVA-507R Normal Cancer
Melan A GTX04383 MSVA-900M Normal Cancer
Melan A GTX04384 MSVA-901M+ Normal Cancer
Melanoma gp100 GTX04382 MSVA-617R Normal Cancer
Mesothelin GTX04373 MSVA-235M Normal Cancer
mGluR5 GTX641400 H339

Coming soon

Coming soon

MMP9 GTX646000 HMV4720 Coming soon Coming soon
Mre11 GTX640560 HMV328 Normal Cancer
MSH2 GTX04408 MSVA-902M Normal Cancer
MSH6 GTX04416 MSVA-906R Normal Cancer
MTAP GTX04964 MSVA-741R

Normal

Cancer

MUC1 GTX04397 MSVA-672R Normal Cancer
MUC2 GTX639934 HMV310 Normal Cancer
Mucin 5AC GTX04364 MSVA-109M Normal Cancer
Mucin 6 GTX04409 MSVA-806R Normal Cancer
MX1 GTX639940 HMV316 Normal Cancer
Myelin basic protein GTX04435 MSVA-390R Normal Cancer
Myeloperoxidase GTX04470 MSVA-692M Normal Cancer
MYH7 GTX04970 MSVA-464M

Normal

Cancer

MyoD1 GTX04419 MSVA-801R Normal Cancer
Napsin A GTX04366 MSVA-112R Normal Cancer
NFIX GTX640561 HMV329 Normal Cancer
NKX2.1 GTX04489 MSVA-312R Normal Cancer
NPR-C GTX643510 HMV4274 Normal Cancer
NRF1 GTX646252 HMV4723 Coming soon Coming soon
NSE GTX04388 MSVA-451M Normal Cancer
Nucleolin GTX04456 MSVA-623R Normal Cancer
Occludin GTX04461 MSVA-415M Normal Cancer
Opsin Red / Green GTX644717 HMV4716 Coming soon Coming soon
p27 Kip1 GTX642296 HMV3970

Normal

Cancer

p53 GTX04482 MSVA-053R Normal Cancer
p63 GTX04458 MSVA-063R Normal Cancer
PAI2 GTX640562 HMV330 Normal Cancer
pan Cytokeratin GTX04363 MSVA-000R Normal Cancer
pan Cytokeratin GTX643512 HMV4276 Coming soon Coming soon
PAPP A GTX04437 MSVA-780M Normal Cancer
Parathyroid Hormone GTX04405 MSVA-525R Normal Cancer
PARP GTX640566 HMV334 Normal Cancer
PAX6 GTX04487 MSVA-706M Normal Cancer
PAX8 GTX04430 MSVA-708R Normal Cancer
PCNA GTX644715 HMV4714 Coming soon Coming soon
PD-L1 GTX04362 MSVA-711R Normal Cancer
PD-L1 GTX639925 H302

Coming soon

Coming soon

Pepsinogen I GTX639942 HMV318 Normal Cancer
Periostin GTX04460 MSVA-649M Normal Cancer
PGP9.5 GTX04438 MSVA-905R Normal Cancer
Placental Alkaline Phosphatase GTX04413 MSVA-350R Normal Cancer
Progesterone Receptor GTX04431 MSVA-570R Normal Cancer
Prostatic Acid Phosphatase GTX04396 MSVA-452M Normal Cancer
Prostein GTX04965 MSVA-460R

Normal

Cancer

PSA GTX04481 MSVA-603R Normal Cancer
PSAT1 GTX640563 HMV331 Normal Cancer
Rabbit anti-human IgA GTX04490 MSVA-700R Normal Cancer
Rabbit anti-human IgD GTX04491 MSVA-701R Normal Cancer
S100 beta GTX04404 MSVA-490R Normal Cancer
S100A12 GTX04449 MSVA-812M Normal Cancer
S100P GTX04398 MSVA-480R Normal Cancer
SATB2 GTX04414 MSVA-702R Normal Cancer
SDHA GTX640916 HMV336 Normal Cancer
SDHB GTX639944 HMV320 Normal Cancer
SMARCA2 GTX640917 HMV337 Normal Cancer
Somatostatin GTX639926 HMV303 Normal Cancer
Somatostatin GTX04473 MSVA-638R Normal Cancer
Somatostatin receptor 3 GTX641401 H340

Coming soon

Coming soon

SOX2 GTX640918 HMV338

Normal

Cancer

SOX9 GTX04459 MSVA-709R Normal Cancer
StAR GTX639930 HMV306 Normal Cancer
StAR GTX04483 MSVA-740R Normal Cancer
STING GTX04484 MSVA-515M Normal Cancer
Synaptophysin GTX04371 MSVA-462R Normal Cancer
TACSTD2 GTX04443 MSVA-733R Normal Cancer
TdT GTX04417 MSVA-453R Normal Cancer
TFE3 GTX04963 MSVA-403R

Normal

Cancer

TFF1 GTX04488 MSVA-482M Normal Cancer
Thrombomodulin GTX04446 MSVA-141M Normal Cancer
Thymidylate synthase GTX639929 HMV305 Normal Cancer
Thyroglobulin GTX04365 MSVA-189R Normal Cancer
TIGIT GTX639946 HMV322 Normal Cancer
TIGIT GTX639947 HMV323 Normal Cancer
TIM-3 GTX04440 MSVA-366R Normal Cancer
TLE1 GTX04966 MSVA-856R

Normal

Cancer

TMEM16A GTX04369 MSVA-201M Normal Cancer
Topoisomerase II alpha GTX04422 MSVA-802R Normal Cancer
TRIM29 GTX04467 MSVA-629M Normal Cancer
TRIM72 GTX639937 HMV313 Normal Cancer
TRPS1 GTX04485 MSVA-512R Normal Cancer
Tyrosine Hydroxylase GTX639936 HMV312 Normal Cancer
UPK1A GTX04462 MSVA-735M Normal Cancer
UPK1B GTX04450 MSVA-734M Normal Cancer
UPK3B GTX04476 MSVA-736M Normal Cancer
VGluT1 GTX646251 HMV4722 Coming soon Coming soon
Villin GTX04400 MSVA-459R Normal Cancer
Vimentin GTX04418 MSVA-458R Normal Cancer
Vimentin GTX640564 HMV332 Normal Cancer
VWF GTX04412 MSVA-521R Normal Cancer
ZAP70 GTX04441 MSVA-870R Normal Cancer

 

 

| TOP |