ASC1 antibody

Cat. No. GTX66364
Cat. No.  GTX66364
Anti-ASC1 antibody used in IHC (Paraffin sections) (IHC-P). GTX66364
GTX66364 IHC-P Image

IHC-P analysis of rat heart tissue using GTX66364 ASC1 antibody.
Dilution : 1:100

1 / 5
Anti-ASC1 antibody used in Immunoprecipitation (IP). GTX66364
GTX66364 IP Image

IP analysis of A549 cell lysate using GTX66364 ASC1 antibody.
Antibody amount : 3μg / 200μg lysate
Dilution : 1:1000

2 / 5
Anti-ASC1 antibody used in IHC (Paraffin sections) (IHC-P). GTX66364
GTX66364 IHC-P Image

IHC-P analysis of human esophageal tissue using GTX66364 ASC1 antibody.
Dilution : 1:100

3 / 5
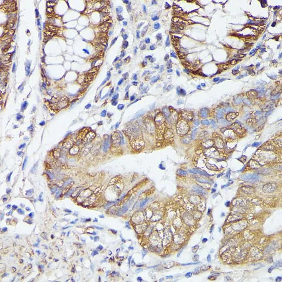
Anti-ASC1 antibody used in IHC (Paraffin sections) (IHC-P). GTX66364
GTX66364 IHC-P Image

IHC-P analysis of human colon carcinoma tissue using GTX66364 ASC1 antibody.
Dilution : 1:100

4 / 5
Anti-ASC1 antibody used in Western Blot (WB). GTX66364
GTX66364 WB Image

WB analysis of various sample lysates using GTX66364 ASC1 antibody.
Dilution : 1:1000
Loading : 25μg per lane

5 / 5
Anti-ASC1 antibody used in IHC (Paraffin sections) (IHC-P). GTX66364
Anti-ASC1 antibody used in Immunoprecipitation (IP). GTX66364
Anti-ASC1 antibody used in IHC (Paraffin sections) (IHC-P). GTX66364
Anti-ASC1 antibody used in IHC (Paraffin sections) (IHC-P). GTX66364
Anti-ASC1 antibody used in Western Blot (WB). GTX66364
  • Host
    Rabbit
  • Clonality
    Polyclonal
  • Isotype
    IgG
  • Applications
    WB IHC-P IP
  • Reactivity
    Human, Mouse, Rat
See all ASC1 products