BIN1 antibody

Cat. No. GTX103259
Cat. No.  GTX103259
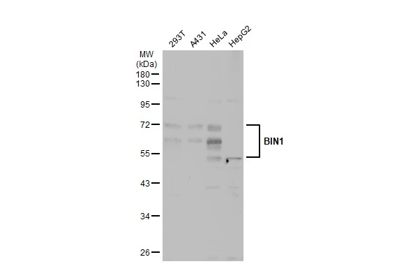
Anti-BIN1 antibody used in Western Blot (WB). GTX103259
GTX103259 WB Image

Various whole cell extracts (30 μg) were separated by 10% SDS-PAGE, and the membrane was blotted with BIN1 antibody (GTX103259) diluted at 1:1000. The HRP-conjugated anti-rabbit IgG antibody (GTX213110-01) was used to detect the primary antibody.

1 / 6
Anti-BIN1 antibody used in Western Blot (WB). GTX103259
GTX103259 WB Image

Various whole cell extracts (30 μg) were separated by 10% SDS-PAGE, and the membrane was blotted with BIN1 antibody (GTX103259) diluted at 1:2000. The HRP-conjugated anti-rabbit IgG antibody (GTX213110-01) was used to detect the primary antibody.

2 / 6
Anti-BIN1 antibody used in Immunocytochemistry/ Immunofluorescence (ICC/IF). GTX103259
GTX103259 ICC/IF Image

BIN1 antibody detects BIN1 protein at cytoplasm by immunofluorescent analysis.
Sample: HeLa cells were fixed in 4% paraformaldehyde at RT for 15 min.
Green: BIN1 stained by BIN1 antibody (GTX103259) diluted at 1:500.
Blue: Fluoroshield with DAPI (GTX30920).
Scale bar= 10 μm.

3 / 6
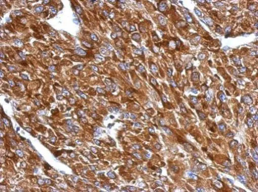
Anti-BIN1 antibody used in IHC (Paraffin sections) (IHC-P). GTX103259
GTX103259 IHC-P Image

BIN1 antibody detects BIN1 protein at cytoplasm in human papillary adenocarcinoma by immunohistochemical analysis.
Sample: Paraffin-embedded human papillary adenocarcinoma .
BIN1 antibody (GTX103259) diluted at 1:500.

Antigen Retrieval: Trilogy™ (EDTA based, pH 8.0) buffer, 15min

4 / 6
Anti-BIN1 antibody used in IHC (Paraffin sections) (IHC-P). GTX103259
GTX103259 IHC-P Image

Immunohistochemical analysis of paraffin-embedded U87 xenograft, using BIN1(GTX103259) antibody at 1:500 dilution.
Antigen Retrieval: Trilogy™ (EDTA based, pH 8.0) buffer, 15min

5 / 6
Anti-BIN1 antibody used in Western Blot (WB). GTX103259
GTX103259 WB Image

Various whole cell extracts (30 μg) were separated by 10% SDS-PAGE, and the membranes were blotted with BIN1 antibody (GTX103259) diluted at 1:1000 and competitor's antibody (#13679) diluted at 1:500. The HRP-conjugated anti-rabbit IgG antibody (GTX213110-01) was used to detect the primary antibody.

*The competitor is not affiliated with GeneTex and does not endorse this product.

6 / 6
Anti-BIN1 antibody used in Western Blot (WB). GTX103259
Anti-BIN1 antibody used in Western Blot (WB). GTX103259
Anti-BIN1 antibody used in Immunocytochemistry/ Immunofluorescence (ICC/IF). GTX103259
Anti-BIN1 antibody used in IHC (Paraffin sections) (IHC-P). GTX103259
Anti-BIN1 antibody used in IHC (Paraffin sections) (IHC-P). GTX103259
Anti-BIN1 antibody used in Western Blot (WB). GTX103259
  • Host
    Rabbit
  • Clonality
    Polyclonal
  • Isotype
    IgG
  • Applications
    WB ICC/IF IHC-P IHC
  • Reactivity
    Human, Mouse
See all BIN1 products