CD99 antibody [SPM596]

Cat. No. GTX34574
Cat. No.  GTX34574
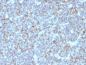
Anti-CD99 antibody [SPM596] used in IHC (Paraffin sections) (IHC-P). GTX34574
GTX34574 IHC-P Image

IHC-P analysis of human Ewing's sarcoma tissue using GTX34574 CD99 antibody [SPM596].

1 / 1
Anti-CD99 antibody [SPM596] used in IHC (Paraffin sections) (IHC-P). GTX34574
  • Host
    Mouse
  • Clonality
    Monoclonal
  • Clone Name
    SPM596
  • Isotype
    IgG1
  • Applications
    ICC/IF IHC-P FCM
  • Reactivity
    Human
See all CD99 products