CHMP5 antibody [N1C3]

Cat. No. GTX106692
Cat. No.  GTX106692
Anti-CHMP5 antibody [N1C3] used in Western Blot (WB). GTX106692
GTX106692 WB Image

CHMP5 antibody detects CHMP5 protein by Western blot analysis. Various whole cell extracts (30 μg) were separated by 15 % SDS-PAGE, and blotted with CHMP5 antibody (GTX106692) diluted by 1:1000

1 / 6
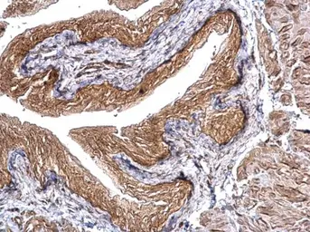
Anti-CHMP5 antibody [N1C3] used in IHC (Paraffin sections) (IHC-P). GTX106692
GTX106692 IHC-P Image

CHMP5 antibody [N1C3] detects CHMP5 protein at cytoplasm by immunohistochemical analysis.
Sample: Paraffin-embedded mouse urinary bladder.
CHMP5 stained by CHMP5 antibody [N1C3] (GTX106692) diluted at 1:500.
Antigen Retrieval: Trilogy™ (EDTA based, pH 8.0) buffer, 15min

2 / 6
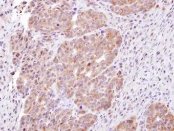
Anti-CHMP5 antibody [N1C3] used in IHC (Paraffin sections) (IHC-P). GTX106692
GTX106692 IHC-P Image

Immunohistochemical analysis of paraffin-embedded NCIN87 xenograft, using CHMP5(GTX106692) antibody at 1:100 dilution.
Antigen Retrieval: Trilogy™ (EDTA based, pH 8.0) buffer, 15min

3 / 6
Anti-CHMP5 antibody [N1C3] used in Western Blot (WB). GTX106692
GTX106692 WB Image

Jurkat whole cell extracts and Jurkat exosome extract (15.4 μg) were separated by 12% SDS-PAGE, and the membrane was blotted with CHMP5 antibody [N1C3] (GTX106692) diluted at 1:250. The HRP-conjugated anti-rabbit IgG antibody (GTX213110-01) was used to detect the primary antibody.

4 / 6
Anti-CHMP5 antibody [N1C3] used in Immunocytochemistry/ Immunofluorescence (ICC/IF). GTX106692
GTX106692 ICC/IF Image

CHMP5 antibody [N1C3] detects CHMP5 protein at cytoplasm by immunofluorescent analysis.
Sample: HL-60 cells were fixed in ice-cold MeOH for 5 min.
Green: CHMP5 protein stained by CHMP5 antibody [N1C3] (GTX106692) diluted at 1:500.
Blue: Hoechst 33342 staining.

5 / 6
Anti-CHMP5 antibody [N1C3] used in Western Blot (WB). GTX106692
GTX106692 WB Image

Sample(30μg whole cell lysate)
A: 293T
B: A431 (GTX27909)
C: H1299
D: HeLa S3 (GTX14654)
E: Hep G2 (GTX27900)
12% SDS PAGE
GTX106692 diluted at 1:1000

6 / 6
Anti-CHMP5 antibody [N1C3] used in Western Blot (WB). GTX106692
Anti-CHMP5 antibody [N1C3] used in IHC (Paraffin sections) (IHC-P). GTX106692
Anti-CHMP5 antibody [N1C3] used in IHC (Paraffin sections) (IHC-P). GTX106692
Anti-CHMP5 antibody [N1C3] used in Western Blot (WB). GTX106692
Anti-CHMP5 antibody [N1C3] used in Immunocytochemistry/ Immunofluorescence (ICC/IF). GTX106692
Anti-CHMP5 antibody [N1C3] used in Western Blot (WB). GTX106692
  • Host
    Rabbit
  • Clonality
    Polyclonal
  • Isotype
    IgG
  • Applications
    WB ICC/IF IHC-P IP
  • Reactivity
    Human, Mouse
See all CHMP5 products