DMP1 antibody

Cat. No. GTX04077
Cat. No.  GTX04077
Anti-DMP1 antibody used in Western Blot (WB). GTX04077
GTX04077 WB Image

WB analysis of COS7 cell lysate using GTX04077 DMP1 antibody.

1 / 4
Anti-DMP1 antibody used in IHC (Paraffin sections) (IHC-P). GTX04077
GTX04077 IHC-P Image

IHC-P analysis of rat brain tissue using GTX04077 DMP1 antibody.
Antigen retrieval : Heat mediated antigen retrieval step in citrate buffer was performed
Dilution : 1:100

2 / 4
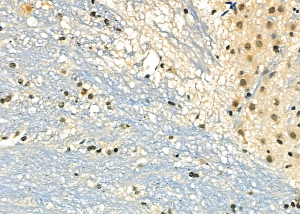
Anti-DMP1 antibody used in IHC (Paraffin sections) (IHC-P). GTX04077
GTX04077 IHC-P Image

IHC-P analysis of mouse brain tissue using GTX04077 DMP1 antibody.
Antigen retrieval : Heat mediated antigen retrieval step in citrate buffer was performed
Dilution : 1:100

3 / 4
Anti-DMP1 antibody used in Western Blot (WB). GTX04077
GTX04077 WB Image

WB analysis of mouse lung tissue lysates using GTX04077 DMP1 antibody. The lane on the left was treated with blocking peptide.

4 / 4
Anti-DMP1 antibody used in Western Blot (WB). GTX04077
Anti-DMP1 antibody used in IHC (Paraffin sections) (IHC-P). GTX04077
Anti-DMP1 antibody used in IHC (Paraffin sections) (IHC-P). GTX04077
Anti-DMP1 antibody used in Western Blot (WB). GTX04077
  • Host
    Rabbit
  • Clonality
    Polyclonal
  • Isotype
    IgG
  • Applications
    WB IHC-P
  • Reactivity
    Human, Mouse, Rat, Monkey
See all DMP1 products