DNMT3B antibody

Cat. No. GTX129127
Cat. No.  GTX129127
Anti-DNMT3B antibody used in Western Blot (WB). GTX129127
GTX129127 WB Image

Wild-type (WT) and DNMT3B knockout (KO) HeLa cell extracts (30 μg) were separated by 7.5% SDS-PAGE, and the membrane was blotted with DNMT3B antibody (GTX129127) diluted at 1:500. The HRP-conjugated anti-rabbit IgG antibody (GTX213110-01) was used to detect the primary antibody.

1 / 8
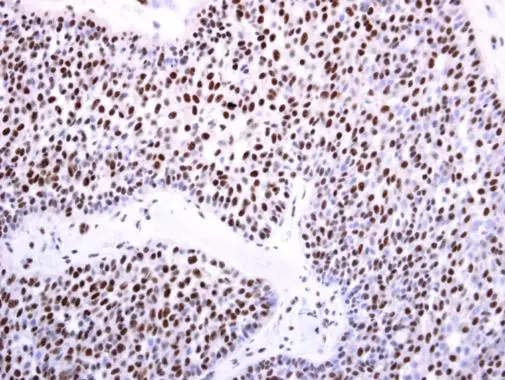
Anti-DNMT3B antibody used in IHC (Paraffin sections) (IHC-P). GTX129127
GTX129127 IHC-P Image

DNMT3B antibody detects DNMT3B protein at nucleus on human lung carcinoma by immunohistochemical analysis.
Sample: Paraffin-embedded human lung carcinoma.
DNMT3B antibody (GTX129127) diluted at 1:250.

Antigen Retrieval: Trilogy™ (EDTA based, pH 8.0) buffer, 15min

2 / 8
Anti-DNMT3B antibody used in Western Blot (WB). GTX129127
GTX129127 WB Image

Non-transfected (–) and transfected (+) 293T whole cell extracts (30 μg) were separated by 5% SDS-PAGE, and the membrane was blotted with DNMT3B antibody (GTX129127) diluted at 1:5000. The HRP-conjugated anti-rabbit IgG antibody (GTX213110-01) was used to detect the primary antibody, and the signal was developed with Trident ECL plus-Enhanced.

3 / 8
Anti-DNMT3B antibody used in Immunoprecipitation (IP). GTX129127
GTX129127 IP Image

Immunoprecipitation of DNMT3B protein from K562 nuclear extracts using 5 μg of DNMT3B antibody (GTX129127).
Western blot analysis was performed using DNMT3B antibody (GTX129127) diluted at 1:500.
EasyBlot anti-Rabbit IgG (GTX221666-01) was used as a secondary reagent.

4 / 8
Anti-DNMT3B antibody used in Immunocytochemistry/ Immunofluorescence (ICC/IF). GTX129127
GTX129127 ICC/IF Image

DNMT3B antibody detects DNMT3B protein at nucleus by immunofluorescent analysis.
Sample: HeLa cells were fixed in 4% paraformaldehyde at RT for 15 min.
Green: DNMT3B protein stained by DNMT3B antibody (GTX129127) diluted at 1:200.
Red: phalloidin, a cytoskeleton marker, diluted at 1:50.
Scale bar = 10 μm.

5 / 8
Anti-DNMT3B antibody used in Western Blot (WB). GTX129127
GTX129127 WB Image

Various whole cell extracts (30 μg) were separated by 5% SDS-PAGE, and the membrane was blotted with DNMT3B antibody (GTX129127) diluted at 1:500. The HRP-conjugated anti-rabbit IgG antibody (GTX213110-01) was used to detect the primary antibody.

6 / 8
Anti-DNMT3B antibody used in Western Blot (WB). GTX129127
GTX129127 WB Image

The data was published in the journal Oncotarget in 2018. PMID: 29416619

7 / 8
Anti-DNMT3B antibody used in Western Blot (WB). GTX129127
GTX129127 WB Image

The data was published in the journal Oncotarget in 2018. PMID: 29416619

8 / 8
Anti-DNMT3B antibody used in Western Blot (WB). GTX129127
Anti-DNMT3B antibody used in IHC (Paraffin sections) (IHC-P). GTX129127
Anti-DNMT3B antibody used in Western Blot (WB). GTX129127
Anti-DNMT3B antibody used in Immunoprecipitation (IP). GTX129127
Anti-DNMT3B antibody used in Immunocytochemistry/ Immunofluorescence (ICC/IF). GTX129127
Anti-DNMT3B antibody used in Western Blot (WB). GTX129127
Anti-DNMT3B antibody used in Western Blot (WB). GTX129127
Anti-DNMT3B antibody used in Western Blot (WB). GTX129127
  • Host
    Rabbit
  • Clonality
    Polyclonal
  • Isotype
    IgG
  • Applications
    WB ICC/IF IHC-P IP
  • Reactivity
    Human, Rat
See all DNMT3B products