Ferritin Heavy Chain antibody [HL1905]

Cat. No. GTX637654
Cat. No.  GTX637654
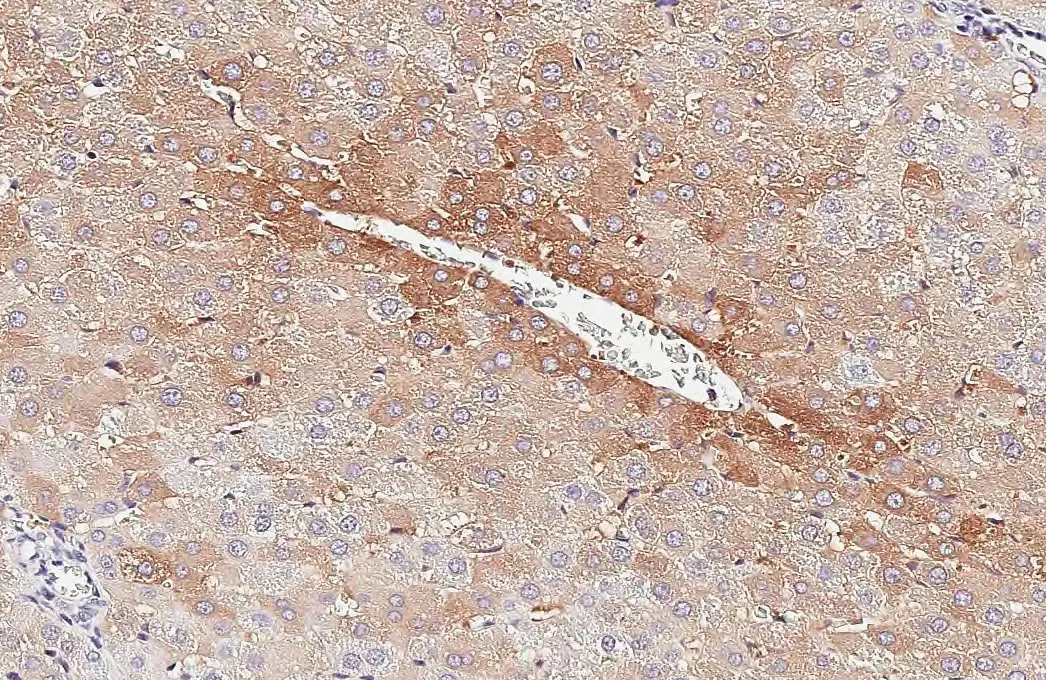
Anti-Ferritin Heavy Chain antibody [HL1905] used in IHC (Paraffin sections) (IHC-P). GTX637654
GTX637654 IHC-P Image

Ferritin Heavy Chain antibody [HL1905] detects Ferritin Heavy Chain protein by immunohistochemical analysis.
Sample: Paraffin-embedded rat liver.
Ferritin Heavy Chain stained by Ferritin Heavy Chain antibody [HL1905] (GTX637654) diluted at 1:2500.
Antigen Retrieval: Citrate buffer, pH 6.0, 15 min

1 / 6
Anti-Ferritin Heavy Chain antibody [HL1905] used in IHC (Paraffin sections) (IHC-P). GTX637654
GTX637654 IHC-P Image

Ferritin Heavy Chain antibody [HL1905] detects Ferritin Heavy Chain protein by immunohistochemical analysis.
Sample: Paraffin-embedded rat tissues.
Ferritin Heavy Chain stained by Ferritin Heavy Chain antibody [HL1905] (GTX637654) diluted at 1:2500.
Antigen Retrieval: Citrate buffer, pH 6.0, 15 min

2 / 6
Anti-Ferritin Heavy Chain antibody [HL1905] used in Western Blot (WB). GTX637654
GTX637654 WB Image

Whole cell extract (30 μg) was separated by 12% SDS-PAGE, and the membrane was blotted with Ferritin Heavy Chain antibody [HL1905] (GTX637654) diluted at 1:1000. The HRP-conjugated anti-rabbit IgG antibody (GTX213110-01) was used to detect the primary antibody.

3 / 6
Anti-Ferritin Heavy Chain antibody [HL1905] used in Western Blot (WB). GTX637654
GTX637654 WB Image

Whole cell extract (30 μg) was separated by 12% SDS-PAGE, and the membrane was blotted with Ferritin Heavy Chain antibody [HL1905] (GTX637654) diluted at 1:1000. The HRP-conjugated anti-rabbit IgG antibody (GTX213110-01) was used to detect the primary antibody.

4 / 6
Anti-Ferritin Heavy Chain antibody [HL1905] used in Western Blot (WB). GTX637654
GTX637654 WB Image

Various whole cell extracts (30 μg) were separated by 12% SDS-PAGE, and the membrane was blotted with Ferritin Heavy Chain antibody [HL1905] (GTX637654) diluted at 1:3000. The HRP-conjugated anti-rabbit IgG antibody (GTX213110-01) was used to detect the primary antibody. Corresponding RNA expression data for the same cell lines are based on Human Protein Atlas program.

5 / 6
Anti-Ferritin Heavy Chain antibody [HL1905] used in Western Blot (WB). GTX637654
GTX637654 WB Image

Non-transfected (–) and transfected (+) 293T whole cell extracts were separated by 15% SDS-PAGE, and the membrane was blotted with Ferritin Heavy Chain antibody [HL1905] (GTX637654) diluted at 1:5000. The HRP-conjugated anti-rabbit IgG antibody (GTX213110-01) was used to detect the primary antibody.

6 / 6
Anti-Ferritin Heavy Chain antibody [HL1905] used in IHC (Paraffin sections) (IHC-P). GTX637654
Anti-Ferritin Heavy Chain antibody [HL1905] used in IHC (Paraffin sections) (IHC-P). GTX637654
Anti-Ferritin Heavy Chain antibody [HL1905] used in Western Blot (WB). GTX637654
Anti-Ferritin Heavy Chain antibody [HL1905] used in Western Blot (WB). GTX637654
Anti-Ferritin Heavy Chain antibody [HL1905] used in Western Blot (WB). GTX637654
Anti-Ferritin Heavy Chain antibody [HL1905] used in Western Blot (WB). GTX637654
  • Host
    Rabbit
  • Clonality
    Monoclonal
  • Clone Name
    HL1905
  • Isotype
    IgG
  • Applications
    WB IHC-P
  • Reactivity
    Human, Rat, Cat, Dog
See all Ferritin Heavy Chain products