HIBCH antibody [3H5]

Cat. No. GTX84364
Cat. No.  GTX84364
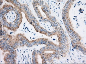
Anti-HIBCH antibody [3H5] used in IHC (Paraffin sections) (IHC-P). GTX84364
GTX84364 IHC-P Image

IHC-P analysis of human colon adenocarcinoma tissue using GTX84364 HIBCH antibody [3H5].
Antigen retrieval : Heat-induced epitope retrieval by 10mM citrate buffer, pH6.0, 100ºC for 10min.
Dilution : 1:50

1 / 6
Anti-HIBCH antibody [3H5] used in Western Blot (WB). GTX84364
GTX84364 WB Image

WB analysis of various cell lines using GTX84364 HIBCH antibody [3H5].
Loading : 35 ug per lane

2 / 6
Anti-HIBCH antibody [3H5] used in IHC (Paraffin sections) (IHC-P). GTX84364
GTX84364 IHC-P Image

IHC-P analysis of human kidney tissue using GTX84364 HIBCH antibody [3H5].
Antigen retrieval : Heat-induced epitope retrieval by 10mM citrate buffer, pH6.0, 100ºC for 10min.
Dilution : 1:50

3 / 6
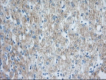
Anti-HIBCH antibody [3H5] used in IHC (Paraffin sections) (IHC-P). GTX84364
GTX84364 IHC-P Image

IHC-P analysis of human liver tissue using GTX84364 HIBCH antibody [3H5].
Antigen retrieval : Heat-induced epitope retrieval by 10mM citrate buffer, pH6.0, 100ºC for 10min.
Dilution : 1:50

4 / 6
Anti-HIBCH antibody [3H5] used in Flow cytometry (FCM). GTX84364
GTX84364 FCM Image

FACS analysis of HEK293T cells transfected with either HIBCH plasmid(Red) or empty vector control plasmid(Blue) using GTX84364 HIBCH antibody [3H5].

5 / 6
Anti-HIBCH antibody [3H5] used in Western Blot (WB). GTX84364
GTX84364 WB Image

WB analysis of HEK293T cells transfected with HIBCH plasmid (Right) or empty vector (Left) for 48 hrs using GTX84364 HIBCH antibody [3H5].
Loading : 5 ug per lane

6 / 6
Anti-HIBCH antibody [3H5] used in IHC (Paraffin sections) (IHC-P). GTX84364
Anti-HIBCH antibody [3H5] used in Western Blot (WB). GTX84364
Anti-HIBCH antibody [3H5] used in IHC (Paraffin sections) (IHC-P). GTX84364
Anti-HIBCH antibody [3H5] used in IHC (Paraffin sections) (IHC-P). GTX84364
Anti-HIBCH antibody [3H5] used in Flow cytometry (FCM). GTX84364
Anti-HIBCH antibody [3H5] used in Western Blot (WB). GTX84364
  • Host
    Mouse
  • Clonality
    Monoclonal
  • Clone Name
    3H5
  • Isotype
    IgG2a
  • Applications
    WB IHC-P FCM
  • Reactivity
    Human, Dog
See all HIBCH products