HMGB1 antibody [HL2059]

Cat. No. GTX637963
Cat. No.  GTX637963
Anti-HMGB1 antibody [HL2059] used in Western Blot (WB). GTX637963
GTX637963 WB Image

Non-transfected (–) and transfected (+) 293T whole cell extracts (30 μg) were separated by 12% SDS-PAGE, and the membrane was blotted with HMGB1 antibody [HL2059] (GTX637963) diluted at 1:1000. The HRP-conjugated anti-rabbit IgG antibody (GTX213110-01) was used to detect the primary antibody.

1 / 12
Anti-HMGB1 antibody [HL2059] used in Western Blot (WB). GTX637963
GTX637963 WB Image

Various whole cell extracts (30 μg) were separated by 12% SDS-PAGE, and the membrane was blotted with HMGB1 antibody [HL2059] (GTX637963) diluted at 1:1000. The HRP-conjugated anti-rabbit IgG antibody (GTX213110-01) was used to detect the primary antibody.

2 / 12
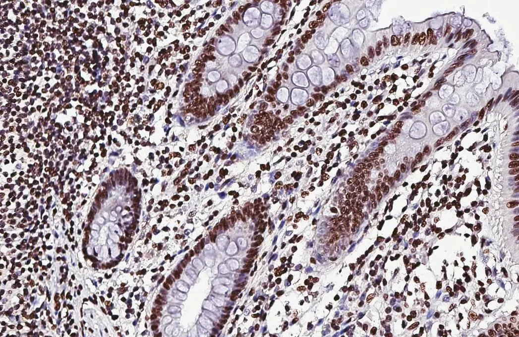
Anti-HMGB1 antibody [HL2059] used in IHC (Paraffin sections) (IHC-P). GTX637963
GTX637963 IHC-P Image

HMGB1 antibody [HL2059] detects HMGB1 protein by immunohistochemical analysis.
Sample: Paraffin-embedded human appendix.
HMGB1 stained by HMGB1 antibody [HL2059] (GTX637963) diluted at 1:400.
Antigen Retrieval: Citrate buffer, pH 6.0, 15 min

3 / 12
Anti-HMGB1 antibody [HL2059] used in Immunocytochemistry/ Immunofluorescence (ICC/IF). GTX637963
GTX637963 ICC/IF Image

HMGB1 antibody [HL2059] detects HMGB1 protein by immunofluorescent analysis.
Sample: MDCK cells were fixed in 4% paraformaldehyde at RT for 15 min.
Green: HMGB1 stained by HMGB1 antibody [HL2059] (GTX637963) diluted at 1:500.
Red: alpha Tubulin, a cytoskeleton marker, stained by alpha Tubulin antibody [GT114] (GTX628802) diluted at 1:1000.

4 / 12
Anti-HMGB1 antibody [HL2059] used in Western Blot (WB). GTX637963
GTX637963 WB Image

Non-transfected (–) and transfected (+) 293T whole cell extracts (5 μg) were separated by 12% SDS-PAGE, and the membrane was blotted with HMGB1 antibody [HL2059] (GTX637963) diluted at 1:300000. The HRP-conjugated anti-rabbit IgG antibody (GTX213110-01) was used to detect the primary antibody.

5 / 12
Anti-HMGB1 antibody [HL2059] used in IHC (Paraffin sections) (IHC-P). GTX637963
GTX637963 IHC-P Image

HMGB1 antibody [HL2059] detects HMGB1 protein at cytoplasm and nucleus by immunohistochemical analysis.
Sample: Paraffin-embedded cat kidney.
HMGB1 stained by HMGB1 antibody [HL2059] (GTX637963) diluted at 1:100.
Antigen Retrieval: Citrate buffer, pH 6.0, 15 min

6 / 12
Anti-HMGB1 antibody [HL2059] used in Western Blot (WB). GTX637963
GTX637963 WB Image

Whole cell extract (30 μg) was separated by 12% SDS-PAGE, and the membrane was blotted with HMGB1 antibody [HL2059] (GTX637963) diluted at 1:1000. The HRP-conjugated anti-rabbit IgG antibody (GTX213110-01) was used to detect the primary antibody.

7 / 12
Anti-HMGB1 antibody [HL2059] used in Immunocytochemistry/ Immunofluorescence (ICC/IF). GTX637963
GTX637963 ICC/IF Image

HMGB1 antibody [HL2059] detects HMGB1 protein at nucleus by immunofluorescent analysis.
Sample: DIV9 rat E18 primary hippocampal neuron cells were fixed in 4% paraformaldehyde at RT for 15 min.
Green: HMGB1 stained by HMGB1 antibody [HL2059] (GTX637963) diluted at 1:250.
Red: Tau, an axon marker, stained by Tau antibody [GT287] (GTX634809) diluted at 1:500.

8 / 12
Anti-HMGB1 antibody [HL2059] used in Immunocytochemistry/ Immunofluorescence (ICC/IF). GTX637963
GTX637963 ICC/IF Image

HMGB1 antibody [HL2059] detects HMGB1 protein at nucleus by immunofluorescent analysis.
Sample: HeLa cells were fixed in 4% paraformaldehyde at RT for 15 min.
Green: HMGB1 stained by HMGB1 antibody [HL2059] (GTX637963) diluted at 1:500.
Red: alpha Tubulin, a cytoskeleton marker, stained by alpha Tubulin antibody [GT114] (GTX628802) diluted at 1:1000.

9 / 12
Anti-HMGB1 antibody [HL2059] used in IHC (Paraffin sections) (IHC-P). GTX637963
GTX637963 IHC-P Image

HMGB1 antibody [HL2059] detects HMGB1 protein at nucleus by immunohistochemical analysis.
Sample: Paraffin-embedded mouse tissues.
HMGB1 stained by HMGB1 antibody [HL2059] (GTX637963) diluted at 1:100.
Antigen Retrieval: Citrate buffer, pH 6.0, 15 min

10 / 12
Anti-HMGB1 antibody [HL2059] used in ELISA (ELISA). GTX637963
GTX637963 ELISA Image

Indirect ELISA analysis was performed by coating the plate with recombinant HEK293 expressed, human HMGB1 protein (1000-15.63 ng/mL). Coated protein was probed with HMGB1 antibody [HL2059] (GTX637963) (1 μg/mL). Goat anti-rabbit IgG antibody (HRP) (GTX213110-01) (1:10000) was used to detect the bound primary antibody.

11 / 12
Anti-HMGB1 antibody [HL2059] used in Western Blot (WB). GTX637963
GTX637963 WB Image

Various tissue extracts (50 μg) were separated by 12% SDS-PAGE, and the membrane was blotted with HMGB1 antibody [HL2059] (GTX637963) diluted at 1:1000. The HRP-conjugated anti-rabbit IgG antibody (GTX213110-01) was used to detect the primary antibody.

12 / 12
Anti-HMGB1 antibody [HL2059] used in Western Blot (WB). GTX637963
Anti-HMGB1 antibody [HL2059] used in Western Blot (WB). GTX637963
Anti-HMGB1 antibody [HL2059] used in IHC (Paraffin sections) (IHC-P). GTX637963
Anti-HMGB1 antibody [HL2059] used in Immunocytochemistry/ Immunofluorescence (ICC/IF). GTX637963
Anti-HMGB1 antibody [HL2059] used in Western Blot (WB). GTX637963
Anti-HMGB1 antibody [HL2059] used in IHC (Paraffin sections) (IHC-P). GTX637963
Anti-HMGB1 antibody [HL2059] used in Western Blot (WB). GTX637963
Anti-HMGB1 antibody [HL2059] used in Immunocytochemistry/ Immunofluorescence (ICC/IF). GTX637963
Anti-HMGB1 antibody [HL2059] used in Immunocytochemistry/ Immunofluorescence (ICC/IF). GTX637963
Anti-HMGB1 antibody [HL2059] used in IHC (Paraffin sections) (IHC-P). GTX637963
Anti-HMGB1 antibody [HL2059] used in ELISA (ELISA). GTX637963
Anti-HMGB1 antibody [HL2059] used in Western Blot (WB). GTX637963
  • Host
    Rabbit
  • Clonality
    Monoclonal
  • Clone Name
    HL2059
  • Isotype
    IgG
  • Applications
    WB ICC/IF IHC-P ELISA
  • Reactivity
    Human, Mouse, Rat, Cat, Dog
See all HMGB1 products