IL1 beta antibody

Cat. No. GTX22105
Cat. No.  GTX22105
Anti-IL1 beta antibody used in IHC (Paraffin sections) (IHC-P). GTX22105
GTX22105 IHC-P Image

IHC-P analysis of human medullary lymph node tissue using GTX22105 IL1 beta antibody.

1 / 5
Anti-IL1 beta antibody used in Western Blot (WB). GTX22105
GTX22105 WB Image

WB analysis of recombinant human IL1 beta protein using GTX22105 IL1 beta antibody.
Loading : 5 ng
Dilution : 1:2000

2 / 5
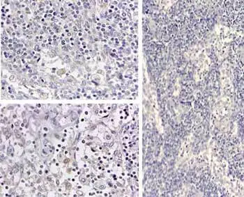
Anti-IL1 beta antibody used in IHC (Paraffin sections) (IHC-P). GTX22105
GTX22105 IHC-P Image

IHC-P analysis of medullary lymph node using IL1 beta antibody. Positive staining in the cytoplasm of circulating macrophages. Negative Control (far right) normal rabbit IgG.

3 / 5
Anti-IL1 beta antibody used in Western Blot (WB). GTX22105
GTX22105 WB Image

GTX22105 was used at a 1:200 dilution incubated 1 h at room temperature to detect dog IL-1beta by Western blot. Lane 1 and 2 were loaded with 2.5 μg and 500 ng of dog IL-1beta respectively.

4 / 5
Anti-IL1 beta antibody used in Western Blot (WB). GTX22105
GTX22105 WB Image

The data was published in the journal Int J Mol Sci in 2019. PMID: 30987270

5 / 5
Anti-IL1 beta antibody used in IHC (Paraffin sections) (IHC-P). GTX22105
Anti-IL1 beta antibody used in Western Blot (WB). GTX22105
Anti-IL1 beta antibody used in IHC (Paraffin sections) (IHC-P). GTX22105
Anti-IL1 beta antibody used in Western Blot (WB). GTX22105
Anti-IL1 beta antibody used in Western Blot (WB). GTX22105
  • Host
    Rabbit
  • Clonality
    Polyclonal
  • Isotype
    IgG
  • Applications
    WB IHC-P IHC-Fr FCM IP ELISA Neutralizing /Inhibition
  • Reactivity
    Human, Dog
See all IL1 beta products