KLF5 antibody

Cat. No. GTX103289
Cat. No.  GTX103289
Anti-KLF5 antibody used in Western Blot (WB). GTX103289
GTX103289 WB Image

Wild-type (WT) and KLF5 knockout (KO) HeLa cell extracts (30 μg) were separated by 10% SDS-PAGE, and the membrane was blotted with KLF5 antibody (GTX103289) diluted at 1:1000. The HRP-conjugated anti-rabbit IgG antibody (GTX213110-01) was used to detect the primary antibody.

1 / 20
Anti-KLF5 antibody used in Western Blot (WB). GTX103289
GTX103289 WB Image

Untreated (–) and treated (+) HeLa whole cell extracts (30 μg) were separated by 10% SDS-PAGE, and the membrane was blotted with KLF5 antibody (GTX103289) diluted at 1:1000. The HRP-conjugated anti-rabbit IgG antibody (GTX213110-01) was used to detect the primary antibody.

2 / 20
Anti-KLF5 antibody used in Western Blot (WB). GTX103289
GTX103289 WB Image

HeLa whole cell and nuclear extracts (30 μg) were separated by 10% SDS-PAGE, and the membrane was blotted with KLF5 antibody (GTX103289) diluted at 1:1000. The HRP-conjugated anti-rabbit IgG antibody (GTX213110-01) was used to detect the primary antibody.

3 / 20
Anti-KLF5 antibody used in Western Blot (WB). GTX103289
GTX103289 WB Image

Various whole cell extracts (30 μg) were separated by 10% SDS-PAGE, and the membrane was blotted with KLF5 antibody (GTX103289) diluted at 1:1000. The HRP-conjugated anti-rabbit IgG antibody (GTX213110-01) was used to detect the primary antibody.

4 / 20
Anti-KLF5 antibody used in Western Blot (WB). GTX103289
GTX103289 WB Image

Various whole cell extracts (30 μg) were separated by 10% SDS-PAGE, and the membrane was blotted with KLF5 antibody (GTX103289) diluted at 1:1000. The HRP-conjugated anti-rabbit IgG antibody (GTX213110-01) was used to detect the primary antibody.

5 / 20
Anti-KLF5 antibody used in IHC (Paraffin sections) (IHC-P). GTX103289
GTX103289 IHC-P Image

KLF5 antibody detects KLF5 protein at nucleus by immunohistochemical analysis.
Sample: Paraffin-embedded mouse colon.
KLF5 stained by KLF5 antibody (GTX103289) diluted at 1:500.
Antigen Retrieval: Citrate buffer, pH 6.0, 15 min

6 / 20
Anti-KLF5 antibody used in IHC (Paraffin sections) (IHC-P). GTX103289
GTX103289 IHC-P Image

KLF5 antibody detects KLF5 protein at nucleus by immunohistochemical analysis.
Sample: Paraffin-embedded mouse testis.
KLF5 stained by KLF5 antibody (GTX103289) diluted at 1:500.
Antigen Retrieval: Citrate buffer, pH 6.0, 15 min

7 / 20
Anti-KLF5 antibody used in Western Blot (WB). GTX103289
GTX103289 WB Image

Non-transfected (–) and transfected (+) 293T whole cell extracts (30 μg) were separated by 10% SDS-PAGE, and the membrane was blotted with KLF5 antibody (GTX103289) diluted at 1:5000. The HRP-conjugated anti-rabbit IgG antibody (GTX213110-01) was used to detect the primary antibody.

8 / 20
Anti-KLF5 antibody used in Immunocytochemistry/ Immunofluorescence (ICC/IF). GTX103289
GTX103289 ICC/IF Image

KLF5 antibody detects KLF5 protein at nucleus by immunofluorescent analysis.
Sample: HeLa cells were fixed in 4% paraformaldehyde at RT for 15 min.
Green: KLF5 stained by KLF5 antibody (GTX103289) diluted at 1:500.
Red: alpha Tubulin, a cytoskeleton marker, stained by alpha Tubulin antibody [GT114] (GTX628802) diluted at 1:1000.
Blue: Fluoroshield with DAPI (GTX30920).

9 / 20
Anti-KLF5 antibody used in IHC (Paraffin sections) (IHC-P). GTX103289
GTX103289 IHC-P Image

KLF5 antibody detects KLF5 protein at nucleus by immunohistochemical analysis.
Sample: Paraffin-embedded mouse intestine.
KLF5 stained by KLF5 antibody (GTX103289) diluted at 1:500.
Antigen Retrieval: Citrate buffer, pH 6.0, 15 min

10 / 20
Anti-KLF5 antibody used in IHC (Paraffin sections) (IHC-P). GTX103289
GTX103289 IHC-P Image

KLF5 antibody detects KLF5 protein at nucleus on HeLa xenograft by immunohistochemical analysis.
Sample: Paraffin-embedded HeLa xenograft.
KLF5 antibody (GTX103289) dilution: 1:500.

Antigen Retrieval: Trilogy™ (EDTA based, pH 8.0) buffer, 15min

11 / 20
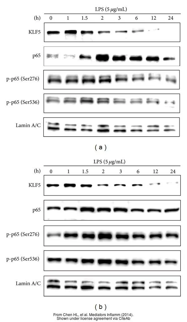
Anti-KLF5 antibody used in Western Blot (WB). GTX103289
GTX103289 WB Image

The data was published in the journal Mediators Inflamm in 2014. PMID: 25197166

12 / 20
Anti-KLF5 antibody used in Western Blot (WB). GTX103289
GTX103289 WB Image

The data was published in the journal Biosci Rep in 2014. PMID: 25205373

13 / 20
Anti-KLF5 antibody used in Western Blot (WB). GTX103289
GTX103289 WB Image

The data was published in the journal Mediators Inflamm in 2014. PMID: 25197166

14 / 20
Anti-KLF5 antibody used in Western Blot (WB). GTX103289
GTX103289 WB Image

The data was published in the journal Mediators Inflamm in 2014. PMID: 25197166

15 / 20
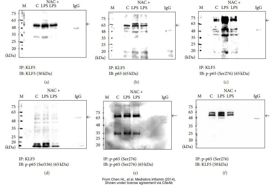
Anti-KLF5 antibody used in Western Blot and Immunoprecipitation (WB IP). GTX103289
GTX103289 WB IP Image

The data was published in the journal Mediators Inflamm in 2014. PMID: 25197166

16 / 20
Anti-KLF5 antibody used in Western Blot (WB). GTX103289
GTX103289 WB Image

The data was published in the journal Biosci Rep in 2014. PMID: 25205373

17 / 20
Anti-KLF5 antibody used in Western Blot (WB). GTX103289
GTX103289 WB Image

The data was published in the journal Mediators Inflamm in 2014. PMID: 25197166

18 / 20
Anti-KLF5 antibody used in Western Blot (WB). GTX103289
GTX103289 WB Image

The data was published in the journal Biosci Rep in 2014. PMID: 25205373

19 / 20
Anti-KLF5 antibody used in IHC (Paraffin sections) (IHC-P). GTX103289
GTX103289 IHC-P Image

The data was published in the journal Mediators Inflamm in 2014. PMID: 25197166

20 / 20
Anti-KLF5 antibody used in Western Blot (WB). GTX103289
Anti-KLF5 antibody used in Western Blot (WB). GTX103289
Anti-KLF5 antibody used in Western Blot (WB). GTX103289
Anti-KLF5 antibody used in Western Blot (WB). GTX103289
Anti-KLF5 antibody used in Western Blot (WB). GTX103289
Anti-KLF5 antibody used in IHC (Paraffin sections) (IHC-P). GTX103289
Anti-KLF5 antibody used in IHC (Paraffin sections) (IHC-P). GTX103289
Anti-KLF5 antibody used in Western Blot (WB). GTX103289
Anti-KLF5 antibody used in Immunocytochemistry/ Immunofluorescence (ICC/IF). GTX103289
Anti-KLF5 antibody used in IHC (Paraffin sections) (IHC-P). GTX103289
Anti-KLF5 antibody used in IHC (Paraffin sections) (IHC-P). GTX103289
Anti-KLF5 antibody used in Western Blot (WB). GTX103289
Anti-KLF5 antibody used in Western Blot (WB). GTX103289
Anti-KLF5 antibody used in Western Blot (WB). GTX103289
Anti-KLF5 antibody used in Western Blot (WB). GTX103289
Anti-KLF5 antibody used in Western Blot and Immunoprecipitation (WB IP). GTX103289
Anti-KLF5 antibody used in Western Blot (WB). GTX103289
Anti-KLF5 antibody used in Western Blot (WB). GTX103289
Anti-KLF5 antibody used in Western Blot (WB). GTX103289
Anti-KLF5 antibody used in IHC (Paraffin sections) (IHC-P). GTX103289
  • Host
    Rabbit
  • Clonality
    Polyclonal
  • Isotype
    IgG
  • Applications
    WB ICC/IF IHC-P IHC-Fr IP
  • Reactivity
    Human, Mouse, Rat
See all KLF5 products