Lamin A + C antibody

Cat. No. GTX101127
Cat. No.  GTX101127
Anti-Lamin A + C antibody used in Western Blot (WB). GTX101127
GTX101127 WB Image

Wild-type (WT) and Lamin A + C knockout (KO) HeLa cell extracts (30 μg) were separated by 7.5% SDS-PAGE, and the membrane was blotted with Lamin A + C antibody (GTX101127) diluted at 1:1000. The HRP-conjugated anti-rabbit IgG antibody (GTX213110-01) was used to detect the primary antibody.

1 / 14
Anti-Lamin A + C antibody used in Immunocytochemistry/ Immunofluorescence (ICC/IF). GTX101127
GTX101127 ICC/IF Image

Lamin A + C antibody detects Lamin A + C protein at nuclear envelope by immunofluorescent analysis.
Sample: HeLa cells were fixed in ice-cold MeOH for 5 min.
Green: Lamin A + C stained by Lamin A + C antibody (GTX101127) diluted at 1:1000.
Red: alpha Tubulin, stained by alpha Tubulin antibody [GT114] (GTX628802) diluted at 1:500.
Blue: Fluoroshield with DAPI (GTX30920).

2 / 14
Anti-Lamin A + C antibody used in Western Blot (WB). GTX101127
GTX101127 WB Image

Various whole cell extracts (30 μg) were separated by 7.5% SDS-PAGE, and the membranes were blotted with Lamin A + C antibody (GTX101127) diluted at 1:500 and competitor's antibody diluted at 1:500. The HRP-conjugated anti-rabbit IgG antibody (GTX213110-01) was used to detect the primary antibody.

*The competitor is not affiliated with GeneTex and does not endorse this product.

3 / 14
Anti-Lamin A + C antibody used in Western Blot (WB). GTX101127
GTX101127 WB Image

Various whole cell extracts (30 μg) were separated by 7.5% SDS-PAGE, and the membrane was blotted with Lamin A + C antibody (GTX101127) diluted at 1:2000. The HRP-conjugated anti-rabbit IgG antibody (GTX213110-01) was used to detect the primary antibody. Corresponding RNA expression data for the same cell lines are based on Human Protein Atlas program.

4 / 14
Anti-Lamin A + C antibody used in Western Blot (WB). GTX101127
GTX101127 WB Image

Various whole cell extracts (30 μg) were separated by 7.5% SDS-PAGE, and the membrane was blotted with Lamin A + C antibody (GTX101127) diluted at 1:5000. The HRP-conjugated anti-rabbit IgG antibody (GTX213110-01) was used to detect the primary antibody.

5 / 14
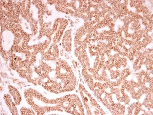
Anti-Lamin A + C antibody used in IHC (Paraffin sections) (IHC-P). GTX101127
GTX101127 IHC-P Image

Immunohistochemical analysis of paraffin-embedded Mahlarvu xenograft, using Lamin A + C(GTX101127) antibody at 1:500 dilution.
Antigen Retrieval: Trilogy™ (EDTA based, pH 8.0) buffer, 15min

6 / 14
Anti-Lamin A + C antibody used in IHC (Paraffin sections) (IHC-P). GTX101127
GTX101127 IHC-P Image

Lamin A + C antibody detects Lamin A + C protein at nuclear envelope in human breast carcinoma by immunohistochemical analysis.
Sample: Paraffin-embedded human breast carcinoma.
Lamin A + C antibody (GTX101127) diluted at 1:250.

Antigen Retrieval: Trilogy™ (EDTA based, pH 8.0) buffer, 15min

7 / 14
Anti-Lamin A + C antibody used in IHC (Paraffin sections) (IHC-P). GTX101127
GTX101127 IHC-P Image

Immunohistochemical analysis of paraffin-embedded RT2 xenograft, using Lamin A + C(GTX101127) antibody at 1:500 dilution.
Antigen Retrieval: Trilogy™ (EDTA based, pH 8.0) buffer, 15min

8 / 14
Anti-Lamin A + C antibody used in Western Blot (WB). GTX101127
GTX101127 WB Image

Sample (30 μg of whole cell lysate)
A: NIH-3T3
7.5% SDS PAGE
GTX101127 diluted at 1:1000
The HRP-conjugated anti-rabbit IgG antibody (GTX213110-01) was used to detect the primary antibody.

9 / 14
Anti-Lamin A + C antibody used in IHC (Paraffin sections) (IHC-P). GTX101127
GTX101127 IHC-P Image

Immunohistochemical analysis of paraffin-embedded C2C12 xenograft, using Lamin A + C(GTX101127) antibody at 1:500 dilution.
Antigen Retrieval: Trilogy™ (EDTA based, pH 8.0) buffer, 15min

10 / 14
Anti-Lamin A + C antibody used in Immunoprecipitation (IP). GTX101127
GTX101127 IP Image

Lamin A + C antibody immunoprecipitates Lamin A + C protein in IP experiments.
IP samples: HeLa whole cell extract
A. 50 μg HeLa whole cell extract
B. Control with 4 μg of preimmune Rabbit IgG
C. Immunoprecipitation of Lamin A + C protein by 4 μg Lamin A + C antibody (GTX101127)
7.5 % SDS-PAGE
The immunoprecipitated Lamin A + C protein was detected by Lamin A + C antibody (GTX101127) diluted at 1:500.
[EasyBlot anti-rabbit IgG (GTX221666-01) was used as a secondary reagent]

11 / 14
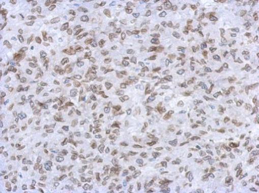
Anti-Lamin A + C antibody used in IHC (Paraffin sections) (IHC-P). GTX101127
GTX101127 IHC-P Image

Lamin A + C antibody detects Lamin A + C protein at cytoplasm and nucleus by immunohistochemical analysis.
Sample: Paraffin-embedded mouse stomach.
Lamin A + C stained by Lamin A + C antibody (GTX101127) diluted at 1:100.
Antigen Retrieval: Citrate buffer, pH 6.0, 15 min

12 / 14
Anti-Lamin A + C antibody used in Western Blot (WB). GTX101127
GTX101127 WB Image

The data was published in the journal PLoS One in 2014. PMID: 25122478

13 / 14
Anti-Lamin A + C antibody used in Immunocytochemistry/ Immunofluorescence (ICC/IF). GTX101127
GTX101127 ICC/IF Image

The data was published in the journal Dis Model Mech in 2016. PMID: 27483354

14 / 14
Anti-Lamin A + C antibody used in Western Blot (WB). GTX101127
Anti-Lamin A + C antibody used in Immunocytochemistry/ Immunofluorescence (ICC/IF). GTX101127
Anti-Lamin A + C antibody used in Western Blot (WB). GTX101127
Anti-Lamin A + C antibody used in Western Blot (WB). GTX101127
Anti-Lamin A + C antibody used in Western Blot (WB). GTX101127
Anti-Lamin A + C antibody used in IHC (Paraffin sections) (IHC-P). GTX101127
Anti-Lamin A + C antibody used in IHC (Paraffin sections) (IHC-P). GTX101127
Anti-Lamin A + C antibody used in IHC (Paraffin sections) (IHC-P). GTX101127
Anti-Lamin A + C antibody used in Western Blot (WB). GTX101127
Anti-Lamin A + C antibody used in IHC (Paraffin sections) (IHC-P). GTX101127
Anti-Lamin A + C antibody used in Immunoprecipitation (IP). GTX101127
Anti-Lamin A + C antibody used in IHC (Paraffin sections) (IHC-P). GTX101127
Anti-Lamin A + C antibody used in Western Blot (WB). GTX101127
Anti-Lamin A + C antibody used in Immunocytochemistry/ Immunofluorescence (ICC/IF). GTX101127
  • Host
    Rabbit
  • Clonality
    Polyclonal
  • Isotype
    IgG
  • Applications
    WB ICC/IF IHC-P IP
  • Reactivity
    Human, Mouse, Rat
See all Lamin A + C products