NFkB p65 (phospho Ser276) antibody

Cat. No. GTX04541
Cat. No.  GTX04541
Anti-NFkB p65 (phospho Ser276) antibody used in ELISA (ELISA). GTX04541
GTX04541 ELISA Image

ELISA analysis of phospho- and non phosho- immunogen peptide using serial diluted GTX04541 NFkB p65 (phospho Ser276) antibody.
P-peptide : phospho-peptide
N-peptide : non-phospho-peptide
Peptides concentration : 1 μg/ml

1 / 10
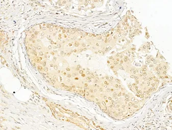
Anti-NFkB p65 (phospho Ser276) antibody used in IHC (Paraffin sections) (IHC-P). GTX04541
GTX04541 IHC-P Image

IHC-P analysis of human colorectal cancer tissue using GTX04541 NFkB p65 (phospho Ser276) antibody.
Antigen retrieval : Heat mediated citrate buffer
Dilution : 1:100

2 / 10
Anti-NFkB p65 (phospho Ser276) antibody used in IHC (Paraffin sections) (IHC-P). GTX04541
GTX04541 IHC-P Image

IHC-P analysis of human mammary cancer tissue using GTX04541 NFkB p65 (phospho Ser276) antibody.
Antigen retrieval : Heat mediated citrate buffer
Dilution : 1:100

3 / 10
Anti-NFkB p65 (phospho Ser276) antibody used in Western Blot (WB). GTX04541
GTX04541 WB Image

WB analysis of various whole cell lysates using GTX04541 NFkB p65 (phospho Ser276) antibody.
Lane 1 : MCF7 cells with serum starvation treatment follwoed by antigen-specific peptides
Lane 2 : MCF7 cells with serum starvation treatment
Lane 3 : A2780 cells with serum starvation treatment

4 / 10
Anti-NFkB p65 (phospho Ser276) antibody used in Immunocytochemistry/ Immunofluorescence (ICC/IF). GTX04541
GTX04541 ICC/IF Image

ICC/IF analysis of PFA fixed HepG2 cells with 4μM Forskolin treatment for 30min using GTX04541 NFkB p65 (phospho Ser276) antibody.
Red : Primary antibody
Green : Beta tubulin
Blue : DAPI
Permeabilization : 0.1% Triton X-100

5 / 10
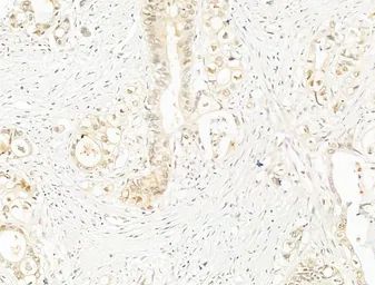
Anti-NFkB p65 (phospho Ser276) antibody used in IHC (Paraffin sections) (IHC-P). GTX04541
GTX04541 IHC-P Image

IHC-P analysis of human normal tissues adjacent to mammary cancer tissue using GTX04541 NFkB p65 (phospho Ser276) antibody.
Antigen retrieval : Heat mediated citrate buffer
Dilution : 1:100

6 / 10
Anti-NFkB p65 (phospho Ser276) antibody used in IHC (Paraffin sections) (IHC-P). GTX04541
GTX04541 IHC-P Image

IHC-P analysis of human brain tissue using GTX04541 NFkB p65 (phospho Ser276) antibody.
Antigen retrieval : Heat mediated citrate buffer
Dilution : 1:200

7 / 10
Anti-NFkB p65 (phospho Ser276) antibody used in IHC (Paraffin sections) (IHC-P). GTX04541
GTX04541 IHC-P Image

IHC-P analysis of human colorectal cancer tissue using GTX04541 NFkB p65 (phospho Ser276) antibody.
Antigen retrieval : Heat mediated citrate buffer
Dilution : 1:100

8 / 10
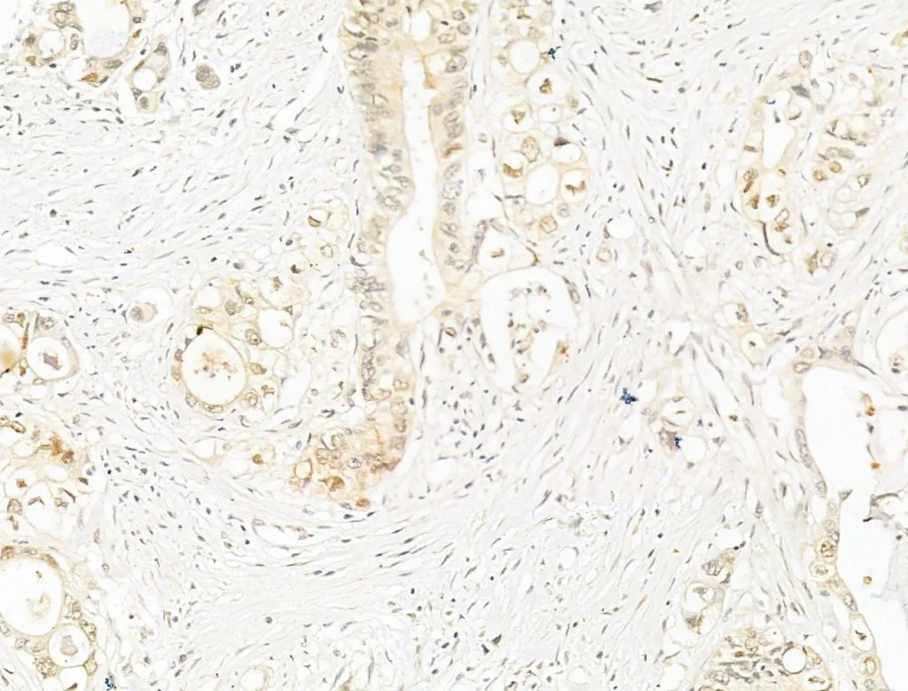
Anti-NFkB p65 (phospho Ser276) antibody used in IHC (Paraffin sections) (IHC-P). GTX04541
GTX04541 IHC-P Image

IHC-P analysis of human normal tissues adjacent to colorectal cancer tissue using GTX04541 NFkB p65 (phospho Ser276) antibody.
Antigen retrieval : Heat mediated citrate buffer
Dilution : 1:100

9 / 10
Anti-NFkB p65 (phospho Ser276) antibody used in IHC (Paraffin sections) (IHC-P). GTX04541
GTX04541 IHC-P Image

IHC-P analysis of rat thymus tissue using GTX04541 NFkB p65 (phospho Ser276) antibody.
Antigen retrieval : Heat mediated citrate buffer
Dilution : 1:100

10 / 10
Anti-NFkB p65 (phospho Ser276) antibody used in ELISA (ELISA). GTX04541
Anti-NFkB p65 (phospho Ser276) antibody used in IHC (Paraffin sections) (IHC-P). GTX04541
Anti-NFkB p65 (phospho Ser276) antibody used in IHC (Paraffin sections) (IHC-P). GTX04541
Anti-NFkB p65 (phospho Ser276) antibody used in Western Blot (WB). GTX04541
Anti-NFkB p65 (phospho Ser276) antibody used in Immunocytochemistry/ Immunofluorescence (ICC/IF). GTX04541
Anti-NFkB p65 (phospho Ser276) antibody used in IHC (Paraffin sections) (IHC-P). GTX04541
Anti-NFkB p65 (phospho Ser276) antibody used in IHC (Paraffin sections) (IHC-P). GTX04541
Anti-NFkB p65 (phospho Ser276) antibody used in IHC (Paraffin sections) (IHC-P). GTX04541
Anti-NFkB p65 (phospho Ser276) antibody used in IHC (Paraffin sections) (IHC-P). GTX04541
Anti-NFkB p65 (phospho Ser276) antibody used in IHC (Paraffin sections) (IHC-P). GTX04541
  • Host
    Rabbit
  • Clonality
    Polyclonal
  • Isotype
    IgG
  • Applications
    WB ICC/IF IHC-P ELISA
  • Reactivity
    Human, Mouse, Rat
See all NFkB p65 products