TMPRSS2 antibody [N2C3]

Cat. No. GTX100743
Cat. No.  GTX100743
Anti-TMPRSS2 antibody [N2C3] used in Western Blot (WB). GTX100743
GTX100743 WB Image

Various whole cell extracts (30 μg) were separated by 12% SDS-PAGE, and the membrane was blotted with TMPRSS2 antibody [N2C3] (GTX100743) diluted at 1:1000. The HRP-conjugated anti-rabbit IgG antibody (GTX213110-01) was used to detect the primary antibody. Corresponding RNA expression data for the same cell lines are based on Human Protein Atlas program.

1 / 4
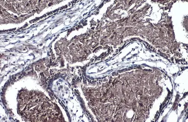
Anti-TMPRSS2 antibody [N2C3] used in IHC (Paraffin sections) (IHC-P). GTX100743
GTX100743 IHC-P Image

TMPRSS2 antibody [N2C3] detects TMPRSS2 protein at cytoplasm by immunohistochemical analysis.
Sample: Paraffin-embedded human kidney.
TMPRSS2 stained by TMPRSS2 antibody [N2C3] (GTX100743) diluted at 1:500.
Antigen Retrieval: Citrate buffer, pH 6.0, 15 min

2 / 4
Anti-TMPRSS2 antibody [N2C3] used in IHC (Paraffin sections) (IHC-P). GTX100743
GTX100743 IHC-P Image

TMPRSS2 antibody [N2C3] detects TMPRSS2 protein at cytoplasm by immunohistochemical analysis.
Sample: Paraffin-embedded human prostate.
TMPRSS2 stained by TMPRSS2 antibody [N2C3] (GTX100743) diluted at 1:500.
Antigen Retrieval: Citrate buffer, pH 6.0, 15 min

3 / 4
Anti-TMPRSS2 antibody [N2C3] used in Western Blot (WB). GTX100743
GTX100743 WB Image

The data was published in the 2022 in J Cell Mol Med. PMID: 34821008

4 / 4
Anti-TMPRSS2 antibody [N2C3] used in Western Blot (WB). GTX100743
Anti-TMPRSS2 antibody [N2C3] used in IHC (Paraffin sections) (IHC-P). GTX100743
Anti-TMPRSS2 antibody [N2C3] used in IHC (Paraffin sections) (IHC-P). GTX100743
Anti-TMPRSS2 antibody [N2C3] used in Western Blot (WB). GTX100743
  • Host
    Rabbit
  • Clonality
    Polyclonal
  • Isotype
    IgG
  • Applications
    WB ICC/IF IHC-P
  • Reactivity
    Human
See all TMPRSS2 products