beta Catenin antibody [N1N2-2], N-term

Cat. No. GTX101435
Cat. No.  GTX101435
Anti-beta Catenin antibody [N1N2-2], N-term used in Western Blot (WB). GTX101435
GTX101435 WB Image

Wild-type (WT) and beta Catenin knockout (KO) 293T cell extracts (9 μg) were separated by 7.5% SDS-PAGE, and the membrane was blotted with beta Catenin antibody [N1N2-2], N-term (GTX101435) diluted at 1:1000. The HRP-conjugated anti-rabbit IgG antibody (GTX213110-01) was used to detect the primary antibody.

1 / 40
Anti-beta Catenin antibody [N1N2-2], N-term used in IHC (Paraffin sections) (IHC-P). GTX101435
GTX101435 IHC-P Image

beta Catenin antibody [N1N2-2] detects beta Catenin protein at cell membrane in mouse colon by immunohistochemical analysis.
Sample: Paraffin-embedded mouse colon.
Green: beta Catenin antibody [N1N2-2] (GTX101435) diluted at 1:500.
Red: alpha Tubulin antibody [GT114] (GTX628802) diluted at 1:500.
Blue: Hoechst 33342 staining.
Antigen Retrieval: Citrate buffer, pH 6.0, 15 min

2 / 40
Anti-beta Catenin antibody [N1N2-2], N-term used in IHC (Paraffin sections) (IHC-P). GTX101435
GTX101435 IHC-P Image

beta Catenin antibody [N1N2-2] detects beta Catenin protein at cell membrane in mouse colon by immunohistochemical analysis.
Sample: Paraffin-embedded mouse colon.
Green: beta Catenin antibody [N1N2-2] (GTX101435) diluted at 1:500.
Red: alpha Tubulin antibody [GT114] (GTX628802) diluted at 1:500.
Blue: Hoechst 33342 staining.
Antigen Retrieval: Citrate buffer, pH 6.0, 15 min

3 / 40
Anti-beta Catenin antibody [N1N2-2], N-term used in Western Blot (WB). GTX101435
GTX101435 WB Image

Whole cell extract (30 μg) was separated by 7.5% SDS-PAGE, and the membranes were blotted with beta Catenin antibody [N1N2-2], N-term (GTX101435) diluted at 1:1000 and competitor's antibody diluted at 1:500. The HRP-conjugated anti-rabbit IgG antibody (GTX213110-01) was used to detect the primary antibody.

*The competitor is not affiliated with GeneTex and does not endorse this product.

4 / 40
Anti-beta Catenin antibody [N1N2-2], N-term used in Western Blot (WB). GTX101435
GTX101435 WB Image

Various whole cell extracts (30 μg) were separated by 7.5% SDS-PAGE, and the membrane was blotted with beta Catenin antibody [N1N2-2], N-term (GTX101435) diluted at 1:10000.

5 / 40
Anti-beta Catenin antibody [N1N2-2], N-term used in Immunocytochemistry/ Immunofluorescence (ICC/IF). GTX101435
GTX101435 ICC/IF Image

beta Catenin antibody [N1N2-2], N-term detects beta Catenin protein at cell membrane by immunofluorescent analysis.
Sample: HCT 116 cells were fixed in 4% paraformaldehyde at RT for 15 min.
Green: beta Catenin protein stained by beta Catenin antibody [N1N2-2], N-term (GTX101435) diluted at 1:500.
Blue: Hoechst 33342 staining.

6 / 40
Anti-beta Catenin antibody [N1N2-2], N-term used in IHC (Paraffin sections) (IHC-P). GTX101435
GTX101435 IHC-P Image

beta Catenin antibody [N1N2-2], N-term detects beta Catenin protein at membrane on mouse urinary bladder by immunohistochemical analysis.
Sample: Paraffin-embedded mouse urinary bladder.
beta Catenin antibody [N1N2-2], N-term (GTX101435) diluted at 1:500.

Antigen Retrieval: Trilogy™ (EDTA based, pH 8.0) buffer, 15min

7 / 40
Anti-beta Catenin antibody [N1N2-2], N-term used in Immunocytochemistry/ Immunofluorescence (ICC/IF). GTX101435
GTX101435 ICC/IF Image

beta Catenin antibody [N1N2-2], N-term detects beta Catenin protein at cell membrane by immunofluorescent analysis.
Sample: HeLa cells were fixed in 4% paraformaldehyde at RT for 15 min.
Green: beta Catenin protein stained by beta Catenin antibody [N1N2-2], N-term (GTX101435) diluted at 1:500.
Blue: Hoechst 33342 staining.

8 / 40
Anti-beta Catenin antibody [N1N2-2], N-term used in IHC (Paraffin sections) (IHC-P). GTX101435
GTX101435 IHC-P Image

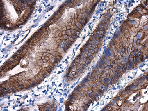
beta Catenin antibody [N1N2-2], N-term detects beta Catenin protein at cell membrane and cytoplasm in mouse intestine by immunohistochemical analysis.
Sample: Paraffin-embedded mouse intestine.
beta Catenin antibody [N1N2-2], N-term (GTX101435) diluted at 1:500.

Antigen Retrieval: Citrate buffer, pH 6.0, 15 min

9 / 40
Anti-beta Catenin antibody [N1N2-2], N-term used in Western Blot (WB). GTX101435
GTX101435 WB Image

beta Catenin antibody [N1N2-2], N-term detects CTNNB1 protein by western blot analysis.
A. 30 μg PC-12 whole cell lysate/extract |
7.5% SDS-PAGE
beta Catenin antibody [N1N2-2], N-term (GTX101435) dilution: 1:1000
The HRP-conjugated anti-rabbit IgG antibody (GTX213110-01) was used to detect the primary antibody.

10 / 40
Anti-beta Catenin antibody [N1N2-2], N-term used in IHC (Paraffin sections) (IHC-P). GTX101435
GTX101435 IHC-P Image

beta Catenin antibody [N1N2-2], N-term detects beta Catenin protein at cell membrane and cytoplasm in mouse duodenum by immunohistochemical analysis.
Sample: Paraffin-embedded mouse duodenum.
beta Catenin antibody [N1N2-2], N-term (GTX101435) diluted at 1:500.

Antigen Retrieval: Citrate buffer, pH 6.0, 15 min

11 / 40
Anti-beta Catenin antibody [N1N2-2], N-term used in IHC (Paraffin sections) (IHC-P). GTX101435
GTX101435 IHC-P Image

beta Catenin antibody [N1N2-2], N-term detects beta Catenin protein at cell membrane and cytoplasm in human cervix by immunohistochemical analysis.
Sample: Paraffin-embedded human cervix.
beta Catenin antibody [N1N2-2], N-term (GTX101435) diluted at 1:500.

Antigen Retrieval: Citrate buffer, pH 6.0, 15 min

12 / 40
Anti-beta Catenin antibody [N1N2-2], N-term used in IHC (Paraffin sections) (IHC-P). GTX101435
GTX101435 IHC-P Image

beta Catenin antibody [N1N2-2], N-term detects beta Catenin protein at cell membrane and cytoplasm in rat colon by immunohistochemical analysis.
Sample: Paraffin-embedded rat colon.
beta Catenin antibody [N1N2-2], N-term (GTX101435) diluted at 1:500.

Antigen Retrieval: Citrate buffer, pH 6.0, 15 min

13 / 40
Anti-beta Catenin antibody [N1N2-2], N-term used in Flow cytometry (FCM). GTX101435
GTX101435 FCM Image

beta Catenin antibody [N1N2-2], N-term (GTX101435) detects CTNNB1 protein by flow cytometry analysis.
Sample: HeLa cell.
Black: Unlabelled sample was used as a control.
Red: beta Catenin antibody [N1N2-2], N-term (GTX101435) dilution: 1:50.
Acquisition of 20,000 events were collected for FACS analysis.

14 / 40
Anti-beta Catenin antibody [N1N2-2], N-term used in IHC (Paraffin sections) (IHC-P). GTX101435
GTX101435 IHC-P Image

beta Catenin antibody [N1N2-2], N-term detects beta Catenin protein at membrane on mouse colon by immunohistochemical analysis.
Sample: Paraffin-embedded mouse colon.
beta Catenin antibody [N1N2-2], N-term (GTX101435) dilution: 1:500.

Antigen Retrieval: Trilogy™ (EDTA based, pH 8.0) buffer, 15min

15 / 40
Anti-beta Catenin antibody [N1N2-2], N-term used in IHC (Paraffin sections) (IHC-P). GTX101435
GTX101435 IHC-P Image

beta Catenin antibody [N1N2-2], N-term detects beta Catenin protein at membrane on mouse skin by immunohistochemical analysis.
Sample: Paraffin-embedded mouse skin.
beta Catenin antibody [N1N2-2], N-term (GTX101435) dilution: 1:500.

Antigen Retrieval: Trilogy™ (EDTA based, pH 8.0) buffer, 15min

16 / 40
Anti-beta Catenin antibody [N1N2-2], N-term used in IHC (Paraffin sections) (IHC-P). GTX101435
GTX101435 IHC-P Image

beta Catenin antibody [N1N2-2], N-term detects beta Catenin protein at cell membrane and cytoplasm in human esophagus by immunohistochemical analysis.
Sample: Paraffin-embedded human esophagus.
beta Catenin antibody [N1N2-2], N-term (GTX101435) diluted at 1:500.

Antigen Retrieval: Citrate buffer, pH 6.0, 15 min

17 / 40
Anti-beta Catenin antibody [N1N2-2], N-term used in Immunocytochemistry/ Immunofluorescence (ICC/IF). GTX101435
GTX101435 ICC/IF Image

Confocal immunofluorescence analysis (Olympus FV10i) of paraformaldehyde-fixed A431, using beta Catenin(GTX101435) antibody (Green) at 1:200 dilution. Alpha-tubulin filaments were labeled with GTX11304 (Red) at 1:2000.

18 / 40
Anti-beta Catenin antibody [N1N2-2], N-term used in Immunoprecipitation (IP). GTX101435
GTX101435 IP Image

Immunoprecipitation of beta Catenin protein from HeLa whole cell extracts using 5 μg of beta Catenin antibody (GTX101435).
Western blot analysis was performed using beta Catenin antibody (GTX101435).
EasyBlot anti-Rabbit IgG (GTX221666-01) was used as a secondary reagent.

19 / 40
Anti-beta Catenin antibody [N1N2-2], N-term used in IHC (Paraffin sections) (IHC-P). GTX101435
GTX101435 IHC-P Image

beta Catenin antibody [N1N2-2], N-term detects beta Catenin protein at cell membrane and cytoplasm in mouse duodenum by immunohistochemical analysis.
Sample: Paraffin-embedded mouse duodenum.
beta Catenin antibody [N1N2-2], N-term (GTX101435) diluted at 1:500.

Antigen Retrieval: Citrate buffer, pH 6.0, 15 min

20 / 40
Anti-beta Catenin antibody [N1N2-2], N-term used in ChIP assay (ChIP assay). GTX101435
GTX101435 ChIP assay Image

Cross-linked ChIP was performed with HCT116 chromatin extract and 5 μg of either control rabbit IgG or anti-beta Catenin antibody. The precipitated DNA was detected by PCR with primer set targeting to c-Myc promoter.

21 / 40
Anti-beta Catenin antibody [N1N2-2], N-term used in Western Blot (WB). GTX101435
GTX101435 WB Image

Sample (50 μg of whole cell lysate)
A: mouse brain
7.5% SDS PAGE
GTX101435 diluted at 1:1000
The HRP-conjugated anti-rabbit IgG antibody (GTX213110-01) was used to detect the primary antibody.

22 / 40
Anti-beta Catenin antibody [N1N2-2], N-term used in IHC (Paraffin sections) (IHC-P). GTX101435
GTX101435 IHC-P Image

beta Catenin antibody [N1N2-2], N-term detects beta Catenin protein at cell membrane and cytoplasm in rat duodenum by immunohistochemical analysis.
Sample: Paraffin-embedded rat duodenum.
beta Catenin antibody [N1N2-2], N-term (GTX101435) diluted at 1:500.

Antigen Retrieval: Citrate buffer, pH 6.0, 15 min

23 / 40
Anti-beta Catenin antibody [N1N2-2], N-term used in Western Blot (WB). GTX101435
GTX101435 WB Image

Non-transfected (–) and transfected (+) HeLa whole cell extracts (30 μg) were separated by 7.5% SDS-PAGE, and the membrane was blotted with beta Catenin antibody [N1N2-2], N-term (GTX101435) diluted at 1:1000. The HRP-conjugated anti-rabbit IgG antibody (GTX213110-01) was used to detect the primary antibody.

24 / 40
Anti-beta Catenin antibody [N1N2-2], N-term used in IHC (Paraffin sections) (IHC-P). GTX101435
GTX101435 IHC-P Image

beta Catenin antibody [N1N2-2], N-term detects beta Catenin protein by immunohistochemical analysis.
Sample: Paraffin-embedded mouse tissues.
beta Catenin stained by beta Catenin antibody [N1N2-2], N-term (GTX101435) diluted at 1:500.
Antigen Retrieval: Citrate buffer, pH 6.0, 15 min

25 / 40
Anti-beta Catenin antibody [N1N2-2], N-term used in IHC (Paraffin sections) (IHC-P). GTX101435
GTX101435 IHC-P Image

beta Catenin antibody [N1N2-2], N-term detects beta Catenin protein by immunohistochemical analysis.
Sample: Paraffin-embedded rat tissues.
beta Catenin stained by beta Catenin antibody [N1N2-2], N-term (GTX101435) diluted at 1:500.
Antigen Retrieval: Citrate buffer, pH 6.0, 15 min

26 / 40
Anti-beta Catenin antibody [N1N2-2], N-term used in Western Blot (WB). GTX101435
GTX101435 WB Image

Various tissue extracts (30 μg) were separated by 7.5% SDS-PAGE, and the membrane was blotted with beta Catenin antibody (GTX101435) diluted at 1:500. The HRP-conjugated anti-rabbit IgG antibody (GTX213110-01) was used to detect the primary antibody.

27 / 40
Anti-beta Catenin antibody [N1N2-2], N-term used in Western Blot (WB). GTX101435
GTX101435 WB Image

Whole cell extract (30 μg) was separated by 7.5% SDS-PAGE, and the membrane was blotted with beta Catenin antibody (GTX101435) diluted at 1:1000. The HRP-conjugated anti-rabbit IgG antibody (GTX213110-01) was used to detect the primary antibody.

28 / 40
Anti-beta Catenin antibody [N1N2-2], N-term used in Immunohistochemistry (IHC). GTX101435
GTX101435 IHC Image

Immunohistochemical analysis of agarose-embedded zebrafish embryo, using beta Catenin antibody [N1N2-2], N-term GTX101435) at 1:100. dilution. (This image was provided courtesy of the Schilling Lab at UC, Irvine.)

29 / 40
Anti-beta Catenin antibody [N1N2-2], N-term used in IHC (Whole mount) (IHC-Wm). GTX101435
GTX101435 IHC-Wm Image

beta Catenin antibody [N1N2-2], N-term detects Ctnnb1 protein on zebrafish by whole mount immunohistochemical analysis.
Sample: 1 day-post-fertilization zebrafish embryo.
beta Catenin antibody [N1N2-2], N-term (GTX101435) dilution: 1:100.

30 / 40
Anti-beta Catenin antibody [N1N2-2], N-term used in IHC (Paraffin sections) (IHC-P). GTX101435
GTX101435 IHC-P Image

beta Catenin antibody detects beta Catenin protein at cell membrane by immunohistochemical analysis.
Sample: Paraffin-embedded cat liver.
beta Catenin stained by beta Catenin antibody (GTX101435) diluted at 1:500.
Antigen Retrieval: Citrate buffer, pH 6.0, 15 min

31 / 40
Anti-beta Catenin antibody [N1N2-2], N-term used in Western Blot (WB). GTX101435
GTX101435 WB Image

Whole cell extract (30 μg) was separated by 7.5% SDS-PAGE, and the membrane was blotted with beta Catenin antibody (GTX101435) diluted at 1:1000. The HRP-conjugated anti-rabbit IgG antibody (GTX213110-01) was used to detect the primary antibody, and the signal was developed with Trident ECL plus-Enhanced.

32 / 40
Anti-beta Catenin antibody [N1N2-2], N-term used in IHC (Whole mount) (IHC-Wm). GTX101435
GTX101435 IHC-Wm Image

beta Catenin antibody [N1N2-2], N-term detects Ctnnb1 protein on zebrafish by whole mount immunohistochemical analysis.
Sample: 2 days-post-fertilization zebrafish embryo.
beta Catenin antibody [N1N2-2], N-term (GTX101435) dilution: 1:100.

33 / 40
Anti-beta Catenin antibody [N1N2-2], N-term used in IHC (Whole mount) (IHC-Wm). GTX101435
GTX101435 IHC-Wm Image

beta Catenin antibody [N1N2-2], N-term detects Ctnnb1 protein on zebrafish by whole mount immunohistochemical analysis.
Sample: 2 days-post-fertilization zebrafish embryo.
beta Catenin antibody [N1N2-2], N-term (GTX101435) dilution: 1:100.

34 / 40
Anti-beta Catenin antibody [N1N2-2], N-term used in IHC (Paraffin sections) (IHC-P). GTX101435
GTX101435 IHC-P Image

beta Catenin antibody detects beta Catenin protein at cell membrane by immunohistochemical analysis.
Sample: Paraffin-embedded cat colon.
beta Catenin stained by beta Catenin antibody (GTX101435) diluted at 1:500.
Antigen Retrieval: Citrate buffer, pH 6.0, 15 min

35 / 40
Anti-beta Catenin antibody [N1N2-2], N-term used in Immunocytochemistry/ Immunofluorescence (ICC/IF). GTX101435
GTX101435 ICC/IF Image

beta Catenin antibody detects beta Catenin protein at cell membrane by immunofluorescent analysis.
Sample: MDCK cells were fixed in 4% paraformaldehyde at RT for 15 min.
Green: beta Catenin stained by beta Catenin antibody (GTX101435) diluted at 1:1000.

36 / 40
Anti-beta Catenin antibody [N1N2-2], N-term used in IHC (Paraffin sections) (IHC-P). GTX101435
GTX101435 IHC-P Image

Immunohistochemical analysis of paraffin-embedded zebrafish tissue, using beta Catenin antibody [N1N2-2], N-term (GTX101435) at 1:300 dilution.

37 / 40
Anti-beta Catenin antibody [N1N2-2], N-term used in Western Blot and Immunoprecipitation (WB IP). GTX101435
GTX101435 WB IP Image

The data was published in the journal Cell Adh Migr in 2019. PMID: 30744493

38 / 40
Anti-beta Catenin antibody [N1N2-2], N-term used in Western Blot (WB). GTX101435
GTX101435 WB Image

The data was published in the journal Evid Based Complement Alternat Med in 2012.PMID: 23320038

39 / 40
Anti-beta Catenin antibody [N1N2-2], N-term used in Western Blot (WB). GTX101435
GTX101435 WB Image

The data was published in the journal Oncotarget in 2018. PMID: 30613366

40 / 40
Anti-beta Catenin antibody [N1N2-2], N-term used in Western Blot (WB). GTX101435
Anti-beta Catenin antibody [N1N2-2], N-term used in IHC (Paraffin sections) (IHC-P). GTX101435
Anti-beta Catenin antibody [N1N2-2], N-term used in IHC (Paraffin sections) (IHC-P). GTX101435
Anti-beta Catenin antibody [N1N2-2], N-term used in Western Blot (WB). GTX101435
Anti-beta Catenin antibody [N1N2-2], N-term used in Western Blot (WB). GTX101435
Anti-beta Catenin antibody [N1N2-2], N-term used in Immunocytochemistry/ Immunofluorescence (ICC/IF). GTX101435
Anti-beta Catenin antibody [N1N2-2], N-term used in IHC (Paraffin sections) (IHC-P). GTX101435
Anti-beta Catenin antibody [N1N2-2], N-term used in Immunocytochemistry/ Immunofluorescence (ICC/IF). GTX101435
Anti-beta Catenin antibody [N1N2-2], N-term used in IHC (Paraffin sections) (IHC-P). GTX101435
Anti-beta Catenin antibody [N1N2-2], N-term used in Western Blot (WB). GTX101435
Anti-beta Catenin antibody [N1N2-2], N-term used in IHC (Paraffin sections) (IHC-P). GTX101435
Anti-beta Catenin antibody [N1N2-2], N-term used in IHC (Paraffin sections) (IHC-P). GTX101435
Anti-beta Catenin antibody [N1N2-2], N-term used in IHC (Paraffin sections) (IHC-P). GTX101435
Anti-beta Catenin antibody [N1N2-2], N-term used in Flow cytometry (FCM). GTX101435
Anti-beta Catenin antibody [N1N2-2], N-term used in IHC (Paraffin sections) (IHC-P). GTX101435
Anti-beta Catenin antibody [N1N2-2], N-term used in IHC (Paraffin sections) (IHC-P). GTX101435
Anti-beta Catenin antibody [N1N2-2], N-term used in IHC (Paraffin sections) (IHC-P). GTX101435
Anti-beta Catenin antibody [N1N2-2], N-term used in Immunocytochemistry/ Immunofluorescence (ICC/IF). GTX101435
Anti-beta Catenin antibody [N1N2-2], N-term used in Immunoprecipitation (IP). GTX101435
Anti-beta Catenin antibody [N1N2-2], N-term used in IHC (Paraffin sections) (IHC-P). GTX101435
Anti-beta Catenin antibody [N1N2-2], N-term used in ChIP assay (ChIP assay). GTX101435
Anti-beta Catenin antibody [N1N2-2], N-term used in Western Blot (WB). GTX101435
Anti-beta Catenin antibody [N1N2-2], N-term used in IHC (Paraffin sections) (IHC-P). GTX101435
Anti-beta Catenin antibody [N1N2-2], N-term used in Western Blot (WB). GTX101435
Anti-beta Catenin antibody [N1N2-2], N-term used in IHC (Paraffin sections) (IHC-P). GTX101435
Anti-beta Catenin antibody [N1N2-2], N-term used in IHC (Paraffin sections) (IHC-P). GTX101435
Anti-beta Catenin antibody [N1N2-2], N-term used in Western Blot (WB). GTX101435
Anti-beta Catenin antibody [N1N2-2], N-term used in Western Blot (WB). GTX101435
Anti-beta Catenin antibody [N1N2-2], N-term used in Immunohistochemistry (IHC). GTX101435
Anti-beta Catenin antibody [N1N2-2], N-term used in IHC (Whole mount) (IHC-Wm). GTX101435
Anti-beta Catenin antibody [N1N2-2], N-term used in IHC (Paraffin sections) (IHC-P). GTX101435
Anti-beta Catenin antibody [N1N2-2], N-term used in Western Blot (WB). GTX101435
Anti-beta Catenin antibody [N1N2-2], N-term used in IHC (Whole mount) (IHC-Wm). GTX101435
Anti-beta Catenin antibody [N1N2-2], N-term used in IHC (Whole mount) (IHC-Wm). GTX101435
Anti-beta Catenin antibody [N1N2-2], N-term used in IHC (Paraffin sections) (IHC-P). GTX101435
Anti-beta Catenin antibody [N1N2-2], N-term used in Immunocytochemistry/ Immunofluorescence (ICC/IF). GTX101435
Anti-beta Catenin antibody [N1N2-2], N-term used in IHC (Paraffin sections) (IHC-P). GTX101435
Anti-beta Catenin antibody [N1N2-2], N-term used in Western Blot and Immunoprecipitation (WB IP). GTX101435
Anti-beta Catenin antibody [N1N2-2], N-term used in Western Blot (WB). GTX101435
Anti-beta Catenin antibody [N1N2-2], N-term used in Western Blot (WB). GTX101435
  • Host
    Rabbit
  • Clonality
    Polyclonal
  • Isotype
    IgG
  • Applications
    WB ICC/IF IHC-P IHC-Fr IHC-Wm FCM IP ChIP assay IHC
  • Reactivity
    Human, Mouse, Rat, Zebrafish, Rabbit, Cat, Dog
Summary
Beta-catenin antibody recognizes beta-catenin protein, which acts as a cell adhesion factor as well as an effector of Wnt signaling pathway-driven transcription. Mutation or dysregulation of beta-catenin is associated with many diseases, including developmental disorders and cancers. There are a plethora of commercially available beta-catenin antibodies, among which GeneTex’s beta-catenin antibody (GTX101435) is one of the most rigorously validated and widely cited for a number of applications.
See all beta Catenin products