hnRNP L antibody

Cat. No. GTX132760
Cat. No.  GTX132760
Anti-hnRNP L antibody used in IHC (Paraffin sections) (IHC-P). GTX132760
GTX132760 IHC-P Image

hnRNP L antibody detects hnRNP L protein at nucleus by immunohistochemical analysis.
Sample: Paraffin-embedded mouse testis.
hnRNP L stained by hnRNP L antibody (GTX132760) diluted at 1:500.
Antigen Retrieval: Citrate buffer, pH 6.0, 15 min

1 / 4
Anti-hnRNP L antibody used in Western Blot (WB). GTX132760
GTX132760 WB Image

Various whole cell extracts (30 μg) were separated by 7.5% SDS-PAGE, and the membrane was blotted with hnRNP L antibody (GTX132760) diluted at 1:1000. The HRP-conjugated anti-rabbit IgG antibody (GTX213110-01) was used to detect the primary antibody.

2 / 4
Anti-hnRNP L antibody used in Immunocytochemistry/ Immunofluorescence (ICC/IF). GTX132760
GTX132760 ICC/IF Image

hnRNP L antibody detects hnRNP L protein at nucleus by immunofluorescent analysis.
Sample: HeLa cells were fixed in 4% paraformaldehyde at RT for 15 min.
Green: hnRNP L stained by hnRNP L antibody (GTX132760) diluted at 1:1000.
Red: phalloidin, a cytoskeleton marker, diluted at 1:200.
Scale bar= 10 μm.

3 / 4
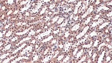
Anti-hnRNP L antibody used in IHC (Paraffin sections) (IHC-P). GTX132760
GTX132760 IHC-P Image

hnRNP L antibody detects hnRNP L protein at nucleus by immunohistochemical analysis.
Sample: Paraffin-embedded rat kidney.
hnRNP L stained by hnRNP L antibody (GTX132760) diluted at 1:500.
Antigen Retrieval: Citrate buffer, pH 6.0, 15 min

4 / 4
Anti-hnRNP L antibody used in IHC (Paraffin sections) (IHC-P). GTX132760
Anti-hnRNP L antibody used in Western Blot (WB). GTX132760
Anti-hnRNP L antibody used in Immunocytochemistry/ Immunofluorescence (ICC/IF). GTX132760
Anti-hnRNP L antibody used in IHC (Paraffin sections) (IHC-P). GTX132760
  • Host
    Rabbit
  • Clonality
    Polyclonal
  • Isotype
    IgG
  • Applications
    WB ICC/IF IHC-P
  • Reactivity
    Human, Mouse, Rat
See all hnRNP L products