14-3-3 theta antibody

Cat. No. GTX102199
Cat. No.  GTX102199
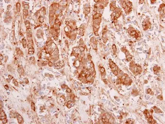
Anti-14-3-3 theta antibody used in IHC (Paraffin sections) (IHC-P). GTX102199
GTX102199 IHC-P Image

14-3-3 theta antibody detects 14-3-3 theta protein at cytoplasm in human breast carcinoma by immunohistochemical analysis.
Sample: Paraffin-embedded human breast carcinoma.
14-3-3 theta antibody (GTX102199) diluted at 1:500.

Antigen Retrieval: Trilogy™ (EDTA based, pH 8.0) buffer, 15min

1 / 5
Anti-14-3-3 theta antibody used in Western Blot (WB). GTX102199
GTX102199 WB Image

Sample (20 μg of whole cell lysate)
A: mouse brain
12% SDS PAGE
GTX102199 diluted at 1:30000
The HRP-conjugated anti-rabbit IgG antibody (GTX213110-01) was used to detect the primary antibody.

2 / 5
Anti-14-3-3 theta antibody used in Western Blot (WB). GTX102199
GTX102199 WB Image

Various whole cell extracts (30 μg) were separated by 12% SDS-PAGE, and the membranes were blotted with 14-3-3 theta antibody (GTX102199) diluted at 1:1000 and competitor's antibody (SC-732) diluted by 1:1000. The HRP-conjugated anti-rabbit IgG antibody (GTX213110-01) was used to detect the primary antibody.

3 / 5
Anti-14-3-3 theta antibody used in Western Blot (WB). GTX102199
GTX102199 WB Image

Sample(30 μg whole cell lysate)
A: 293T
B: A431 (GTX27909)
C: H1299
D: HeLa S3 (GTX14654)
E: HepG2 (GTX27900)
F: MOLT4 (GTX27912)
G: Raji (GTX27908)
12% SDS PAGE
GTX102199 diluted at 1:1000
The HRP-conjugated anti-rabbit IgG antibody (GTX213110-01) was used to detect the primary antibody.

4 / 5
Anti-14-3-3 theta antibody used in Western Blot (WB). GTX102199
GTX102199 WB Image

Sample (30 μg of whole cell lysate)
A: zebrafish eye
B: zebrafish heart
12% SDS PAGE
GTX102199 diluted at 1:1000

5 / 5
Anti-14-3-3 theta antibody used in IHC (Paraffin sections) (IHC-P). GTX102199
Anti-14-3-3 theta antibody used in Western Blot (WB). GTX102199
Anti-14-3-3 theta antibody used in Western Blot (WB). GTX102199
Anti-14-3-3 theta antibody used in Western Blot (WB). GTX102199
Anti-14-3-3 theta antibody used in Western Blot (WB). GTX102199
  • Host
    Rabbit
  • Clonality
    Polyclonal
  • Isotype
    IgG
  • Applications
    WB IHC-P
  • Reactivity
    Human, Mouse, Zebrafish
See all 14-3-3 theta products