5-HT2C receptor antibody [HL5352]

Cat. No. GTX645830
Cat. No.  GTX645830
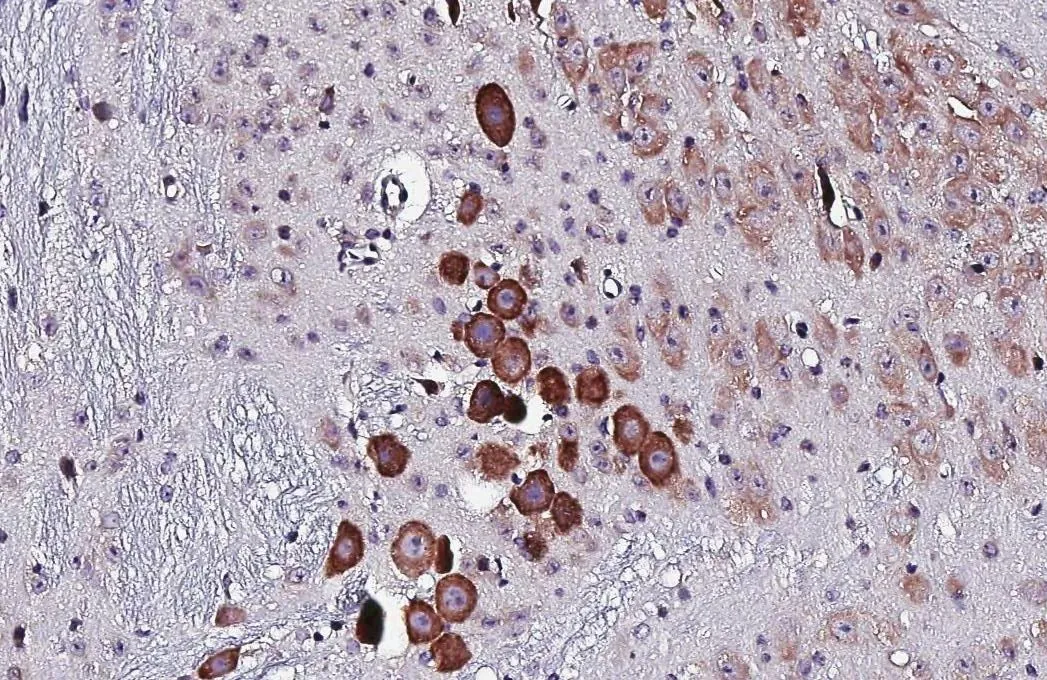
Anti-5-HT2C receptor antibody [HL5352] used in IHC (Paraffin sections) (IHC-P). GTX645830
GTX645830 IHC-P Image

5-HT2C receptor antibody [HL5352] detects 5-HT2C receptor protein by immunohistochemical analysis.
Sample: Paraffin-embedded mouse superior vestibular nucleus.
5-HT2C receptor stained by 5-HT2C receptor antibody [HL5352] (GTX645830) diluted at 1:200.
Antigen Retrieval: Citrate buffer, pH 6.0, 15 min

1 / 4
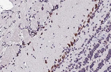
Anti-5-HT2C receptor antibody [HL5352] used in IHC (Paraffin sections) (IHC-P). GTX645830
GTX645830 IHC-P Image

5-HT2C receptor antibody [HL5352] detects 5-HT2C receptor protein by immunohistochemical analysis.
Sample: Paraffin-embedded mouse tissues.
5-HT2C receptor stained by 5-HT2C receptor antibody [HL5352] (GTX645830) diluted at 1:200.
Antigen Retrieval: Citrate buffer, pH 6.0, 15 min

2 / 4
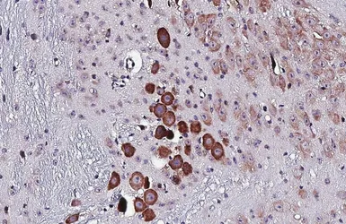
Anti-5-HT2C receptor antibody [HL5352] used in IHC (Paraffin sections) (IHC-P). GTX645830
GTX645830 IHC-P Image

5-HT2C receptor antibody [HL5352] detects 5-HT2C receptor protein by immunohistochemical analysis.
Sample: Paraffin-embedded mouse olfactory bulb.
5-HT2C receptor stained by 5-HT2C receptor antibody [HL5352] (GTX645830) diluted at 1:200.
Antigen Retrieval: Citrate buffer, pH 6.0, 15 min

3 / 4
Anti-5-HT2C receptor antibody [HL5352] used in Western Blot (WB). GTX645830
GTX645830 WB Image

Boiled and unboiled SH-SY5Y whole cell and membrane extracts (30 μg) were separated by 10% SDS-PAGE, and the membrane was blotted with 5-HT2C receptor antibody [HL5352] (GTX645830) diluted at 1:1000. The HRP-conjugated anti-rabbit IgG antibody (GTX213110-01) was used to detect the primary antibody, and the signal was developed with Trident femto Western HRP Substrate. (WCE: whole cell extract; ME: membrane extract)

4 / 4
Anti-5-HT2C receptor antibody [HL5352] used in IHC (Paraffin sections) (IHC-P). GTX645830
Anti-5-HT2C receptor antibody [HL5352] used in IHC (Paraffin sections) (IHC-P). GTX645830
Anti-5-HT2C receptor antibody [HL5352] used in IHC (Paraffin sections) (IHC-P). GTX645830
Anti-5-HT2C receptor antibody [HL5352] used in Western Blot (WB). GTX645830
  • Host
    Rabbit
  • Clonality
    Monoclonal
  • Clone Name
    HL5352
  • Isotype
    IgG
  • Applications
    WB IHC-P
  • Reactivity
    Human, Mouse
See all 5-HT2C receptor products