6X His tag antibody [RM146]

Cat. No. GTX33607
Cat. No.  GTX33607
Anti-6X His tag antibody [RM146] used in Immunoprecipitation (IP). GTX33607
GTX33607 IP Image

IP analysis of 293T cells expressing a His-Tag fusion protein using GTX33607 6X His tag antibody [RM146].
Lane 1 : Whole lysate control
Lane 2 : IP by rabbit IgG control
Lane 3 : IP by Primary antibody

1 / 3
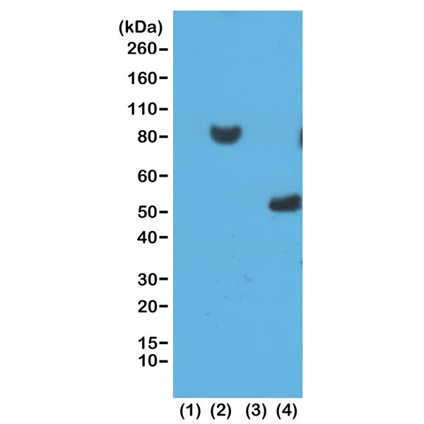
Anti-6X His tag antibody [RM146] used in Western Blot (WB). GTX33607
GTX33607 WB Image

WB analysis of various sample lysayes using GTX33607 6X His tag antibody [RM146].
Lane 1 : 293T cells
Lane 2 : 293T cells transfected with His-Tag fusion protein X
Lane 3 : E. coli lysate without His-Tag Protein Y
Lane 4 : E. coli lysate with His-Tag Protein Y
Dilution : 0.2μg/ml

2 / 3
Anti-6X His tag antibody [RM146] used in Immunocytochemistry/ Immunofluorescence (ICC/IF). GTX33607
GTX33607 ICC/IF Image

ICC/IF analysis of 293T cells expressing His-Tag nuclear protein X using GTX33607 6X His tag antibody [RM146].

3 / 3
Anti-6X His tag antibody [RM146] used in Immunoprecipitation (IP). GTX33607
Anti-6X His tag antibody [RM146] used in Western Blot (WB). GTX33607
Anti-6X His tag antibody [RM146] used in Immunocytochemistry/ Immunofluorescence (ICC/IF). GTX33607
  • Host
    Rabbit
  • Clonality
    Monoclonal
  • Clone Name
    RM146
  • Isotype
    IgG
  • Applications
    WB ICC/IF FCM IP IHC
  • Reactivity
    Species independent
See all 6X His tag products