ABCG2 antibody

Cat. No. GTX100437
Cat. No.  GTX100437
Anti-ABCG2 antibody used in Western Blot (WB). GTX100437
GTX100437 WB Image

ABCG2 antibody detects ABCG2 protein by western blot analysis.
A. 30 μg A549 whole cell lysate/extract
B. 30 μg H1299 whole cell lysate/extract
C. 30 μg HCT116 whole cell lysate/extract
7.5% SDS-PAGE
ABCG2 antibody (GTX100437) dilution: 1:1000
The HRP-conjugated anti-rabbit IgG antibody (GTX213110-01) was used to detect the primary antibody.

1 / 4
Anti-ABCG2 antibody used in Western Blot (WB). GTX100437
GTX100437 WB Image

Sample (30 μg of whole cell lysate)
A:NIH-3T3
7.5% SDS PAGE
GTX100437 diluted at 1:1000
The HRP-conjugated anti-rabbit IgG antibody (GTX213110-01) was used to detect the primary antibody.

2 / 4
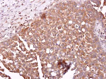
Anti-ABCG2 antibody used in IHC (Paraffin sections) (IHC-P). GTX100437
GTX100437 IHC-P Image

ABCG2 antibody detects ABCG2 protein at cytosol on human breast carcinoma by immunohistochemical analysis.
Sample: ABCG2 antibody (GTX100437) dilution: 1:250.

Antigen Retrieval: Trilogy™ (EDTA based, pH 8.0) buffer, 15min

3 / 4
Anti-ABCG2 antibody used in Western Blot (WB). GTX100437
GTX100437 WB Image

The data was published in the journal Sci Rep in 2018. PMID: 30310131

4 / 4
Anti-ABCG2 antibody used in Western Blot (WB). GTX100437
Anti-ABCG2 antibody used in Western Blot (WB). GTX100437
Anti-ABCG2 antibody used in IHC (Paraffin sections) (IHC-P). GTX100437
Anti-ABCG2 antibody used in Western Blot (WB). GTX100437
  • Host
    Rabbit
  • Clonality
    Polyclonal
  • Isotype
    IgG
  • Applications
    WB IHC-P
  • Reactivity
    Human, Mouse
See all ABCG2 products