ACADVL antibody [N1C1]

Cat. No. GTX114232
Cat. No.  GTX114232
Anti-ACADVL antibody [N1C1] used in Western Blot (WB). GTX114232
GTX114232 WB Image

Wild-type (WT) and ACADVL knockout (KO) 293T cell extracts (30 μg) were separated by 7.5% SDS-PAGE, and the membrane was blotted with ACADVL antibody [N1C1] (GTX114232) diluted at 1:1000. The HRP-conjugated anti-rabbit IgG antibody (GTX213110-01) was used to detect the primary antibody.

1 / 9
Anti-ACADVL antibody [N1C1] used in Immunocytochemistry/ Immunofluorescence (ICC/IF). GTX114232
GTX114232 ICC/IF Image

ACADVL antibody [N1C1] detects ACADVL protein at mitochondria by immunofluorescent analysis.
Sample: HeLa cells were fixed in ice-cold MeOH for 5 min.
Green: ACADVL stained by ACADVL antibody [N1C1] (GTX114232) diluted at 1:500.
Blue: Fluoroshield with DAPI (GTX30920).
Scale bar= 10 μm.

2 / 9
Anti-ACADVL antibody [N1C1] used in Western Blot (WB). GTX114232
GTX114232 WB Image

Various whole cell extracts (30 μg) were separated by 7.5% SDS-PAGE, and the membrane was blotted with ACADVL antibody [N1C1] (GTX114232) diluted at 1:1000. The HRP-conjugated anti-rabbit IgG antibody (GTX213110-01) was used to detect the primary antibody.

3 / 9
Anti-ACADVL antibody [N1C1] used in Western Blot (WB). GTX114232
GTX114232 WB Image

Various whole cell extracts (30 μg) were separated by 7.5% SDS-PAGE, and the membrane was blotted with ACADVL antibody [N1C1] (GTX114232) diluted at 1:1000. The HRP-conjugated anti-rabbit IgG antibody (GTX213110-01) was used to detect the primary antibody. Corresponding RNA expression data for the same cell lines are based on Human Protein Atlas program.

4 / 9
Anti-ACADVL antibody [N1C1] used in IHC (Paraffin sections) (IHC-P). GTX114232
GTX114232 IHC-P Image

ACADVL antibody [N1C1] detects ACADVL protein at cytoplasm by immunohistochemical analysis.
Sample: Paraffin-embedded mouse kidney.
ACADVL stained by ACADVL antibody [N1C1] (GTX114232) diluted at 1:500.
Antigen Retrieval: Citrate buffer, pH 6.0, 15 min

5 / 9
Anti-ACADVL antibody [N1C1] used in IHC (Paraffin sections) (IHC-P). GTX114232
GTX114232 IHC-P Image

ACADVL antibody [N1C1] detects ACADVL protein at mitochondria by immunohistochemical analysis.
Sample: Paraffin-embedded human A549 xenograft.
ACADVL antibody [N1C1] (GTX114232) diluted at 1:500.

Antigen Retrieval: Trilogy™ (EDTA based, pH 8.0) buffer, 15min

6 / 9
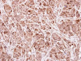
Anti-ACADVL antibody [N1C1] used in IHC (Paraffin sections) (IHC-P). GTX114232
GTX114232 IHC-P Image

Immunohistochemical analysis of paraffin-embedded H358 xenograft, using ACADVL(GTX114232) antibody at 1:250 dilution.
Antigen Retrieval: Trilogy™ (EDTA based, pH 8.0) buffer, 15min

7 / 9
Anti-ACADVL antibody [N1C1] used in IHC (Paraffin sections) (IHC-P). GTX114232
GTX114232 IHC-P Image

ACADVL antibody [N1C1] detects ACADVL protein at cytoplasm by immunohistochemical analysis.
Sample: Paraffin-embedded rat liver.
ACADVL stained by ACADVL antibody [N1C1] (GTX114232) diluted at 1:500.
Antigen Retrieval: Citrate buffer, pH 6.0, 15 min

8 / 9
Anti-ACADVL antibody [N1C1] used in Western Blot (WB). GTX114232
GTX114232 WB Image

Sample (50 μg of whole cell lysate)
A: mouse liver
7.5% SDS PAGE
GTX114232 diluted at 1:3000
The HRP-conjugated anti-rabbit IgG antibody (GTX213110-01) was used to detect the primary antibody.

9 / 9
Anti-ACADVL antibody [N1C1] used in Western Blot (WB). GTX114232
Anti-ACADVL antibody [N1C1] used in Immunocytochemistry/ Immunofluorescence (ICC/IF). GTX114232
Anti-ACADVL antibody [N1C1] used in Western Blot (WB). GTX114232
Anti-ACADVL antibody [N1C1] used in Western Blot (WB). GTX114232
Anti-ACADVL antibody [N1C1] used in IHC (Paraffin sections) (IHC-P). GTX114232
Anti-ACADVL antibody [N1C1] used in IHC (Paraffin sections) (IHC-P). GTX114232
Anti-ACADVL antibody [N1C1] used in IHC (Paraffin sections) (IHC-P). GTX114232
Anti-ACADVL antibody [N1C1] used in IHC (Paraffin sections) (IHC-P). GTX114232
Anti-ACADVL antibody [N1C1] used in Western Blot (WB). GTX114232
  • Host
    Rabbit
  • Clonality
    Polyclonal
  • Isotype
    IgG
  • Applications
    WB ICC/IF IHC-P
  • Reactivity
    Human, Mouse, Rat
See all ACADVL products