ACE2 antibody [GT19410]

Cat. No. GTX635897
Cat. No.  GTX635897
Anti-ACE2 antibody [GT19410] used in Lateral Flow (Lateral Flow). GTX635897
GTX635897 Lateral Flow Image

SARS-CoV-2 neutralizing antibody interferes with the binding of ACE2 and spike RBD proteins. The signal intensity of the test line (T) decreases due to competition by the neutralizing antibody, while the control line (C) demonstrates a valid test.

Neutralizing Antibody: Spike RBD antibody [HL1002] (GTX635791)
C Line:
Detector: Colloidal gold-conjugated human ACE2 (ECO) protein (GTX135683-pro) / Capture: Anti-human ACE2 antibody (GTX635897)
T Line:
Detector: Colloidal gold-conjugated human ACE2 (ECO) protein (GTX135683-pro) / Capture: SARS-CoV-2 Spike RBD protein

1 / 8
Anti-ACE2 antibody [GT19410] used in Western Blot (WB). GTX635897
GTX635897 WB Image

Non-transfected (–) and transfected (+) Caco-2 whole cell extracts (30 μg) were separated by 7.5% SDS-PAGE, and the membrane was blotted with ACE2 antibody [GT19410] (GTX635897) diluted at 1:1000. The HRP-conjugated anti-mouse IgG antibody (GTX213111-01) was used to detect the primary antibody.

2 / 8
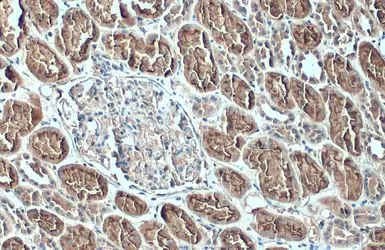
Anti-ACE2 antibody [GT19410] used in IHC (Paraffin sections) (IHC-P). GTX635897
GTX635897 IHC-P Image

ACE2 antibody [GT19410] detects ACE2 protein by immunohistochemical analysis.
Sample: Paraffin-embedded human tissues.
ACE2 stained by ACE2 antibody [GT19410] (GTX635897) diluted at 1:800.
Antigen Retrieval: Tris-EDTA buffer, pH 9.0, 15 min

3 / 8
Anti-ACE2 antibody [GT19410] used in IHC (Paraffin sections) (IHC-P). GTX635897
GTX635897 IHC-P Image

ACE2 antibody [GT19410] detects ACE2 protein by immunohistochemical analysis.
Sample: Paraffin-embedded human tissues.
ACE2 stained by ACE2 antibody [GT19410] (GTX635897) diluted at 1:800.
Antigen Retrieval: Tris-EDTA buffer, pH 9.0, 15 min

4 / 8
Anti-ACE2 antibody [GT19410] used in Immunocytochemistry/ Immunofluorescence (ICC/IF). GTX635897
GTX635897 ICC/IF Image

ACE2 antibody [GT19410] detects ACE2 protein at cell membrane and cytoplasm by immunofluorescent analysis.
Sample: Caco-2 cells were fixed in 4% paraformaldehyde at RT for 15 min.
Green: ACE2 stained by ACE2 antibody [GT19410] (GTX635897) diluted at 1:500.
Blue: Fluoroshield with DAPI (GTX30920).

5 / 8
Anti-ACE2 antibody [GT19410] used in Western Blot (WB). GTX635897
GTX635897 WB Image

Mouse tissue extract (50 μg) was separated by 7.5% SDS-PAGE, and the membrane was blotted with ACE2 antibody [GT19410] (GTX635897) diluted at 1:1000. The HRP-conjugated anti-mouse IgG antibody (GTX213111-01) was used to detect the primary antibody.

6 / 8
Anti-ACE2 antibody [GT19410] used in ELISA (ELISA). GTX635897
GTX635897 ELISA Image

Sandwich ELISA detection of recombinant Human ACE2 (ECD) protein, His and Avi tag (active) (GTX01550-pro) using ACE2 antibody [GT19410] (GTX635897) as capture antibody at concentration of 5 μg/mL and 6X His tag antibody [GT359] (HRP) (GTX628914-01) as detection antibody at concentration of 0.1 μg/mL.

7 / 8
Anti-ACE2 antibody [GT19410] used in Western Blot (WB). GTX635897
GTX635897 WB Image

Whole cell extract (30 μg) was separated by 7.5% SDS-PAGE, and the membrane was blotted with ACE2 antibody [GT19410] (GTX635897) diluted at 1:1000. The HRP-conjugated anti-mouse IgG antibody (GTX213111-01) was used to detect the primary antibody.

8 / 8
Anti-ACE2 antibody [GT19410] used in Lateral Flow (Lateral Flow). GTX635897
Anti-ACE2 antibody [GT19410] used in Western Blot (WB). GTX635897
Anti-ACE2 antibody [GT19410] used in IHC (Paraffin sections) (IHC-P). GTX635897
Anti-ACE2 antibody [GT19410] used in IHC (Paraffin sections) (IHC-P). GTX635897
Anti-ACE2 antibody [GT19410] used in Immunocytochemistry/ Immunofluorescence (ICC/IF). GTX635897
Anti-ACE2 antibody [GT19410] used in Western Blot (WB). GTX635897
Anti-ACE2 antibody [GT19410] used in ELISA (ELISA). GTX635897
Anti-ACE2 antibody [GT19410] used in Western Blot (WB). GTX635897
  • Host
    Mouse
  • Clonality
    Monoclonal
  • Clone Name
    GT19410
  • Isotype
    IgG2b
  • Applications
    WB ICC/IF IHC-P ELISA Lateral Flow Sandwich ELISA
  • Reactivity
    Human, Mouse, Monkey
See all ACE2 products