ACP1 antibody

Cat. No. GTX64697
Cat. No.  GTX64697
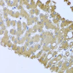
Anti-ACP1 antibody used in IHC (Paraffin sections) (IHC-P). GTX64697
GTX64697 IHC-P Image

IHC-P analysis of human liver damage tissue using GTX64697 ACP1 antibody.
Dilution : 1:100

1 / 4
Anti-ACP1 antibody used in IHC (Paraffin sections) (IHC-P). GTX64697
GTX64697 IHC-P Image

IHC-P analysis of mouse kidney tissue using GTX64697 ACP1 antibody.
Dilution : 1:100

2 / 4
Anti-ACP1 antibody used in Western Blot (WB). GTX64697
GTX64697 WB Image

WB analysis of mouse liver tissue lysate using GTX64697 ACP1 antibody.
Dilution : 1:1000
Loading : 25μg per lane

3 / 4
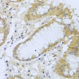
Anti-ACP1 antibody used in IHC (Paraffin sections) (IHC-P). GTX64697
GTX64697 IHC-P Image

IHC-P analysis of human stomach tissue using GTX64697 ACP1 antibody.
Dilution : 1:100

4 / 4
Anti-ACP1 antibody used in IHC (Paraffin sections) (IHC-P). GTX64697
Anti-ACP1 antibody used in IHC (Paraffin sections) (IHC-P). GTX64697
Anti-ACP1 antibody used in Western Blot (WB). GTX64697
Anti-ACP1 antibody used in IHC (Paraffin sections) (IHC-P). GTX64697
  • Host
    Rabbit
  • Clonality
    Polyclonal
  • Isotype
    IgG
  • Applications
    WB IHC-P
  • Reactivity
    Human, Mouse
See all ACP1 products