ACTR1B antibody

Cat. No. GTX115347
Cat. No.  GTX115347
Anti-ACTR1B antibody used in Western Blot (WB). GTX115347
GTX115347 WB Image

Sample (30 ug of whole cell lysate)
A: IMR32
10% SDS PAGE
GTX115347 diluted at 1:1000

1 / 4
Anti-ACTR1B antibody used in Immunocytochemistry/ Immunofluorescence (ICC/IF). GTX115347
GTX115347 ICC/IF Image

ACTR1B antibody detects ACTR1B protein at cytoskeleton by immunofluorescent analysis.
Sample: SKNSH cells were fixed in ice-cold MeOH for 5 min.
Green: ACTR1B protein stained by ACTR1B antibody (GTX115347) diluted at 1:1000.
Blue: Hoechst 33342 staining.

2 / 4
Anti-ACTR1B antibody used in Western Blot (WB). GTX115347
GTX115347 WB Image

Sample (50 ug of whole cell lysate)
A: mouse brain
10% SDS PAGE
GTX115347 diluted at 1:1000

3 / 4
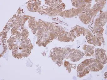
Anti-ACTR1B antibody used in IHC (Paraffin sections) (IHC-P). GTX115347
GTX115347 IHC-P Image

ACTR1B antibody detects ACTR1B protein at cytosol on human ovarian carcinoma by immunohistochemical analysis.
Sample: Paraffin-embedded ovarian carcinoma.
ACTR1B antibody (GTX115347) dilution: 1:500.

Antigen Retrieval: Trilogy™ (EDTA based, pH 8.0) buffer, 15min

4 / 4
Anti-ACTR1B antibody used in Western Blot (WB). GTX115347
Anti-ACTR1B antibody used in Immunocytochemistry/ Immunofluorescence (ICC/IF). GTX115347
Anti-ACTR1B antibody used in Western Blot (WB). GTX115347
Anti-ACTR1B antibody used in IHC (Paraffin sections) (IHC-P). GTX115347
  • Host
    Rabbit
  • Clonality
    Polyclonal
  • Isotype
    IgG
  • Applications
    WB ICC/IF IHC-P
  • Reactivity
    Human, Mouse
See all ACTR1B products