AChR alpha 9 antibody

Cat. No. GTX64774
Cat. No.  GTX64774
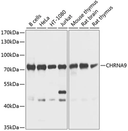
Anti-AChR alpha 9 antibody used in Western Blot (WB). GTX64774
GTX64774 WB Image

WB analysis of various sample lysates using GTX64774 AChR alpha 9 antibody.
Dilution : 1:1000
Loading : 25μg per lane

1 / 1
Anti-AChR alpha 9 antibody used in Western Blot (WB). GTX64774
  • Host
    Rabbit
  • Clonality
    Polyclonal
  • Isotype
    IgG
  • Applications
    WB
  • Reactivity
    Human, Mouse, Rat
See all AChR alpha 9 products