ADAMTS13 antibody

Cat. No. GTX00642
Cat. No.  GTX00642
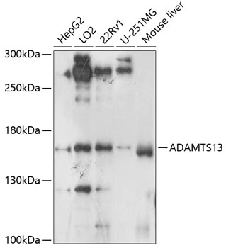
Anti-ADAMTS13 antibody used in Western Blot (WB). GTX00642
GTX00642 WB Image

WB analysis of various sample lysates using GTX00642 ADAMTS13 antibody.
Dilution : 1:1000
Loading : 25μg per lane

1 / 2
Anti-ADAMTS13 antibody used in Immunocytochemistry/ Immunofluorescence (ICC/IF). GTX00642
GTX00642 ICC/IF Image

ICC/IF analysis of NIH/3T3 cells using GTX00642 ADAMTS13 antibody.
Blue : DAPI
Dilution : 1:100

2 / 2
Anti-ADAMTS13 antibody used in Western Blot (WB). GTX00642
Anti-ADAMTS13 antibody used in Immunocytochemistry/ Immunofluorescence (ICC/IF). GTX00642
  • Host
    Rabbit
  • Clonality
    Polyclonal
  • Isotype
    IgG
  • Applications
    WB ICC/IF
  • Reactivity
    Human, Mouse
See all ADAMTS13 products