ADAR1 antibody [HL1789]

Cat. No. GTX637441
Cat. No.  GTX637441
Anti-ADAR1 antibody [HL1789] used in Western Blot (WB). GTX637441
GTX637441 WB Image

Non-transfected (–) and transfected (+) 293T whole cell extracts (30 μg) were separated by 5% SDS-PAGE, and the membrane was blotted with ADAR1 antibody [HL1789] (GTX637441) diluted at 1:5000. The HRP-conjugated anti-rabbit IgG antibody (GTX213110-01) was used to detect the primary antibody.

1 / 3
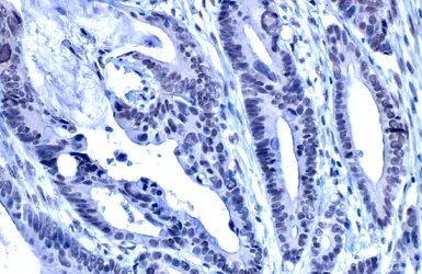
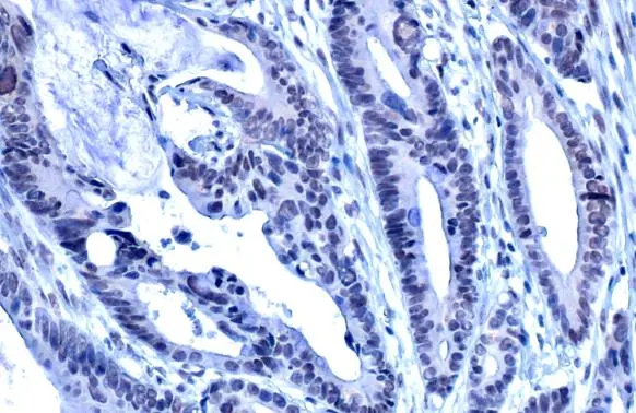
Anti-ADAR1 antibody [HL1789] used in IHC (Paraffin sections) (IHC-P). GTX637441
GTX637441 IHC-P Image

ADAR1 antibody [HL1789] detects ADAR1 protein at cytoplasm and nucleus by immunohistochemical analysis.
Sample: Paraffin-embedded human colon.
ADAR1 stained by ADAR1 antibody [HL1789] (GTX637441) diluted at 1:100.
Antigen Retrieval: Citrate buffer, pH 6.0, 15 min

2 / 3
Anti-ADAR1 antibody [HL1789] used in Western Blot (WB). GTX637441
GTX637441 WB Image

Various whole cell extracts (30 μg) were separated by 5% SDS-PAGE, and the membrane was blotted with ADAR1 antibody [HL1789] (GTX637441) diluted at 1:1000. The HRP-conjugated anti-rabbit IgG antibody (GTX213110-01) was used to detect the primary antibody.

3 / 3
Anti-ADAR1 antibody [HL1789] used in Western Blot (WB). GTX637441
Anti-ADAR1 antibody [HL1789] used in IHC (Paraffin sections) (IHC-P). GTX637441
Anti-ADAR1 antibody [HL1789] used in Western Blot (WB). GTX637441
  • Host
    Rabbit
  • Clonality
    Monoclonal
  • Clone Name
    HL1789
  • Isotype
    IgG
  • Applications
    WB IHC-P
  • Reactivity
    Human
See all ADAR1 products