ADFP antibody [HL2145]

Cat. No. GTX638123
Cat. No.  GTX638123
Anti-ADFP antibody [HL2145] used in Western Blot (WB). GTX638123
GTX638123 WB Image

Various whole cell extracts (30 μg) were separated by 10% SDS-PAGE, and the membrane was blotted with ADFP antibody [HL2145] (GTX638123) diluted at 1:1000. The HRP-conjugated anti-rabbit IgG antibody (GTX213110-01) was used to detect the primary antibody.

1 / 3
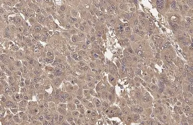
Anti-ADFP antibody [HL2145] used in IHC (Paraffin sections) (IHC-P). GTX638123
GTX638123 IHC-P Image

ADFP antibody [HL2145] detects ADFP protein at cell membrane and cytoplasm by immunohistochemical analysis.
Sample: Paraffin-embedded human hepatocellular carcinoma.
ADFP stained by ADFP antibody [HL2145] (GTX638123) diluted at 1:100.
Antigen Retrieval: Citrate buffer, pH 6.0, 15 min

2 / 3
Anti-ADFP antibody [HL2145] used in Western Blot (WB). GTX638123
GTX638123 WB Image

Various tissue extracts (50 μg) were separated by 10% SDS-PAGE, and the membrane was blotted with ADFP antibody [HL2145] (GTX638123) diluted at 1:1000. The HRP-conjugated anti-rabbit IgG antibody (GTX213110-01) was used to detect the primary antibody.

3 / 3
Anti-ADFP antibody [HL2145] used in Western Blot (WB). GTX638123
Anti-ADFP antibody [HL2145] used in IHC (Paraffin sections) (IHC-P). GTX638123
Anti-ADFP antibody [HL2145] used in Western Blot (WB). GTX638123
  • Host
    Rabbit
  • Clonality
    Monoclonal
  • Clone Name
    HL2145
  • Isotype
    IgG
  • Applications
    WB IHC-P
  • Reactivity
    Human, Mouse
See all ADFP products