ADM2 antibody

Cat. No. GTX51559
Cat. No.  GTX51559
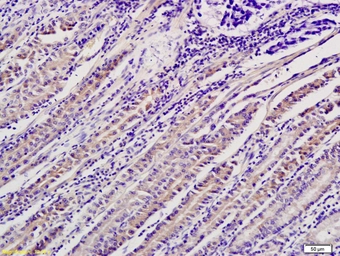
Anti-ADM2 antibody used in IHC (Paraffin sections) (IHC-P). GTX51559
GTX51559 IHC-P Image

IHC-P analysis of rat small intestine tissue using GTX51559 ADM2 antibody.
Dilution : 1:200

1 / 2
Anti-ADM2 antibody used in IHC (Paraffin sections) (IHC-P). GTX51559
GTX51559 IHC-P Image

IHC-P analysis of human gastric cancer tissue using GTX51559 ADM2 antibody.

2 / 2
Anti-ADM2 antibody used in IHC (Paraffin sections) (IHC-P). GTX51559
Anti-ADM2 antibody used in IHC (Paraffin sections) (IHC-P). GTX51559
  • Host
    Rabbit
  • Clonality
    Polyclonal
  • Isotype
    IgG
  • Applications
    IHC-P
  • Reactivity
    Human, Rat
See all ADM2 products