AFM antibody

Cat. No. GTX112390
Cat. No.  GTX112390
Anti-AFM antibody used in Western Blot (WB). GTX112390
GTX112390 WB Image

Human plasma was separated by 7.5% SDS-PAGE, and the membrane was blotted with AFM antibody (GTX112390) diluted at 1:10000. The HRP-conjugated anti-rabbit IgG antibody (GTX213110-01) was used to detect the primary antibody.

1 / 2
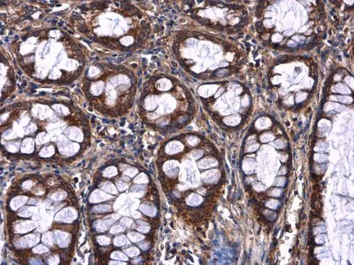
Anti-AFM antibody used in IHC (Paraffin sections) (IHC-P). GTX112390
GTX112390 IHC-P Image

AFM antibody detects AFM protein at cytoplasm in human colon by immunohistochemical analysis.
Sample: Paraffin-embedded human colon.
AFM antibody (GTX112390) diluted at 1:500.

Antigen Retrieval: Citrate buffer, pH 6.0, 15 min

2 / 2
Anti-AFM antibody used in Western Blot (WB). GTX112390
Anti-AFM antibody used in IHC (Paraffin sections) (IHC-P). GTX112390
  • Host
    Rabbit
  • Clonality
    Polyclonal
  • Isotype
    IgG
  • Applications
    WB IHC-P
  • Reactivity
    Human
See all AFM products