AIRE (isoforms 1 and 2) antibody, C-term

Cat. No. GTX13573
Cat. No.  GTX13573
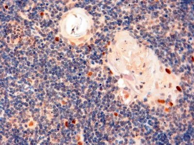
Anti-AIRE (isoforms 1 and 2) antibody, C-term used in IHC (Paraffin sections) (IHC-P). GTX13573
GTX13573 IHC-P Image

IHC-P analysis of human thymus using GTX13573 AIRE (isoforms 1 and 2) antibody, C-term.
Antigen retrieval : Tris/EDTA buffer pH 9
Dilution : 2μg/ml

1 / 2
Anti-AIRE (isoforms 1 and 2) antibody, C-term used in Western Blot (WB). GTX13573
GTX13573 WB Image

WB analysis of human lymph node lysate using GTX13573 AIRE (isoforms 1 and 2) antibody, C-term.
Dilution : 0.5μg/ml
Loading : 35μg protein in RIPA buffer

2 / 2
Anti-AIRE (isoforms 1 and 2) antibody, C-term used in IHC (Paraffin sections) (IHC-P). GTX13573
Anti-AIRE (isoforms 1 and 2) antibody, C-term used in Western Blot (WB). GTX13573
  • Host
    Goat
  • Clonality
    Polyclonal
  • Isotype
    IgG
  • Applications
    WB IHC-P
  • Reactivity
    Human
See all AIRE products