AK5 antibody [2F9]

Cat. No. GTX84921
Cat. No.  GTX84921
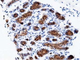
Anti-AK5 antibody [2F9] used in IHC (Paraffin sections) (IHC-P). GTX84921
GTX84921 IHC-P Image

IHC-P analysis of human colon adenocarcinoma tissue using GTX84921 AK5 antibody [2F9].
Antigen retrieval : Heat-induced epitope retrieval by 10mM citrate buffer, pH6.0, 100ºC for 10min.

1 / 23
Anti-AK5 antibody [2F9] used in Flow cytometry (FCM). GTX84921
GTX84921 FCM Image

FACS analysis of Jurkat cells using GTX84921 AK5 antibody [2F9].
Red : Primary antibody
Blue : Negative control antibody

2 / 23
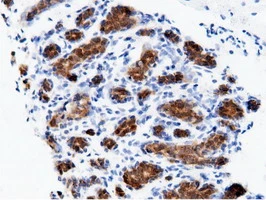
Anti-AK5 antibody [2F9] used in IHC (Paraffin sections) (IHC-P). GTX84921
GTX84921 IHC-P Image

IHC-P analysis of human breast adenocarcinoma tissue using GTX84921 AK5 antibody [2F9].
Antigen retrieval : Heat-induced epitope retrieval by 10mM citrate buffer, pH6.0, 100ºC for 10min.

3 / 23
Anti-AK5 antibody [2F9] used in Western Blot (WB). GTX84921
GTX84921 WB Image

WB analysis of HEK293T cells transfected with AK5 plasmid (Right) or empty vector (Left) for 48 hrs using GTX84921 AK5 antibody [2F9].
Loading : 5 ug per lane

4 / 23
Anti-AK5 antibody [2F9] used in IHC (Paraffin sections) (IHC-P). GTX84921
GTX84921 IHC-P Image

IHC-P analysis of human endometrium adenocarcinoma tissue using GTX84921 AK5 antibody [2F9].
Antigen retrieval : Heat-induced epitope retrieval by 10mM citrate buffer, pH6.0, 100ºC for 10min.

5 / 23
Anti-AK5 antibody [2F9] used in Flow cytometry (FCM). GTX84921
GTX84921 FCM Image

FACS analysis of HeLa cells using GTX84921 AK5 antibody [2F9].
Red : Primary antibody
Blue : Negative control antibody

6 / 23
Anti-AK5 antibody [2F9] used in IHC (Paraffin sections) (IHC-P). GTX84921
GTX84921 IHC-P Image

IHC-P analysis of human breast tissue using GTX84921 AK5 antibody [2F9].
Antigen retrieval : Heat-induced epitope retrieval by 10mM citrate buffer, pH6.0, 100ºC for 10min.

7 / 23
Anti-AK5 antibody [2F9] used in IHC (Paraffin sections) (IHC-P). GTX84921
GTX84921 IHC-P Image

IHC-P analysis of human ovary adenocarcinoma tissue using GTX84921 AK5 antibody [2F9].
Antigen retrieval : Heat-induced epitope retrieval by 10mM citrate buffer, pH6.0, 100ºC for 10min.

8 / 23
Anti-AK5 antibody [2F9] used in IHC (Paraffin sections) (IHC-P). GTX84921
GTX84921 IHC-P Image

IHC-P analysis of human kidney tissue using GTX84921 AK5 antibody [2F9].
Antigen retrieval : Heat-induced epitope retrieval by 10mM citrate buffer, pH6.0, 100ºC for 10min.

9 / 23
Anti-AK5 antibody [2F9] used in Flow cytometry (FCM). GTX84921
GTX84921 FCM Image

FACS analysis of HEK293T cells transfected with either AK5 plasmid(Red) or empty vector control plasmid(Blue) using GTX84921 AK5 antibody [2F9].

10 / 23
Anti-AK5 antibody [2F9] used in IHC (Paraffin sections) (IHC-P). GTX84921
GTX84921 IHC-P Image

IHC-P analysis of human prostate carcinoma tissue using GTX84921 AK5 antibody [2F9].
Antigen retrieval : Heat-induced epitope retrieval by 10mM citrate buffer, pH6.0, 100ºC for 10min.

11 / 23
Anti-AK5 antibody [2F9] used in IHC (Paraffin sections) (IHC-P). GTX84921
GTX84921 IHC-P Image

IHC-P analysis of human pancreas tissue using GTX84921 AK5 antibody [2F9].
Antigen retrieval : Heat-induced epitope retrieval by 10mM citrate buffer, pH6.0, 100ºC for 10min.

12 / 23
Anti-AK5 antibody [2F9] used in IHC (Paraffin sections) (IHC-P). GTX84921
GTX84921 IHC-P Image

IHC-P analysis of human lung carcinoma tissue using GTX84921 AK5 antibody [2F9].
Antigen retrieval : Heat-induced epitope retrieval by 10mM citrate buffer, pH6.0, 100ºC for 10min.

13 / 23
Anti-AK5 antibody [2F9] used in IHC (Paraffin sections) (IHC-P). GTX84921
GTX84921 IHC-P Image

IHC-P analysis of human prostate tissue using GTX84921 AK5 antibody [2F9].
Antigen retrieval : Heat-induced epitope retrieval by 10mM citrate buffer, pH6.0, 100ºC for 10min.

14 / 23
Anti-AK5 antibody [2F9] used in IHC (Paraffin sections) (IHC-P). GTX84921
GTX84921 IHC-P Image

IHC-P analysis of human kidney carcinoma tissue using GTX84921 AK5 antibody [2F9].
Antigen retrieval : Heat-induced epitope retrieval by 10mM citrate buffer, pH6.0, 100ºC for 10min.

15 / 23
Anti-AK5 antibody [2F9] used in IHC (Paraffin sections) (IHC-P). GTX84921
GTX84921 IHC-P Image

IHC-P analysis of human bladder tissue using GTX84921 AK5 antibody [2F9].
Antigen retrieval : Heat-induced epitope retrieval by 10mM citrate buffer, pH6.0, 100ºC for 10min.

16 / 23
Anti-AK5 antibody [2F9] used in IHC (Paraffin sections) (IHC-P). GTX84921
GTX84921 IHC-P Image

IHC-P analysis of human pancreas carcinoma tissue using GTX84921 AK5 antibody [2F9].
Antigen retrieval : Heat-induced epitope retrieval by 10mM citrate buffer, pH6.0, 100ºC for 10min.

17 / 23
Anti-AK5 antibody [2F9] used in IHC (Paraffin sections) (IHC-P). GTX84921
GTX84921 IHC-P Image

IHC-P analysis of human liver tissue using GTX84921 AK5 antibody [2F9].
Antigen retrieval : Heat-induced epitope retrieval by 10mM citrate buffer, pH6.0, 100ºC for 10min.

18 / 23
Anti-AK5 antibody [2F9] used in Immunocytochemistry/ Immunofluorescence (ICC/IF). GTX84921
GTX84921 ICC/IF Image

ICC/IF analysis of COS7 cells transiently transfected with AK5 plasmid using GTX84921 AK5 antibody [2F9].

19 / 23
Anti-AK5 antibody [2F9] used in IHC (Paraffin sections) (IHC-P). GTX84921
GTX84921 IHC-P Image

IHC-P analysis of human lung tissue using GTX84921 AK5 antibody [2F9].
Antigen retrieval : Heat-induced epitope retrieval by 10mM citrate buffer, pH6.0, 100ºC for 10min.

20 / 23
Anti-AK5 antibody [2F9] used in IHC (Paraffin sections) (IHC-P). GTX84921
GTX84921 IHC-P Image

IHC-P analysis of human thyroid carcinoma tissue using GTX84921 AK5 antibody [2F9].
Antigen retrieval : Heat-induced epitope retrieval by 10mM citrate buffer, pH6.0, 100ºC for 10min.

21 / 23
Anti-AK5 antibody [2F9] used in IHC (Paraffin sections) (IHC-P). GTX84921
GTX84921 IHC-P Image

IHC-P analysis of human colon tissue using GTX84921 AK5 antibody [2F9].
Antigen retrieval : Heat-induced epitope retrieval by 10mM citrate buffer, pH6.0, 100ºC for 10min.

22 / 23
Anti-AK5 antibody [2F9] used in IHC (Paraffin sections) (IHC-P). GTX84921
GTX84921 IHC-P Image

IHC-P analysis of human bladder carcinoma tissue using GTX84921 AK5 antibody [2F9].
Antigen retrieval : Heat-induced epitope retrieval by 10mM citrate buffer, pH6.0, 100ºC for 10min.

23 / 23
Anti-AK5 antibody [2F9] used in IHC (Paraffin sections) (IHC-P). GTX84921
Anti-AK5 antibody [2F9] used in Flow cytometry (FCM). GTX84921
Anti-AK5 antibody [2F9] used in IHC (Paraffin sections) (IHC-P). GTX84921
Anti-AK5 antibody [2F9] used in Western Blot (WB). GTX84921
Anti-AK5 antibody [2F9] used in IHC (Paraffin sections) (IHC-P). GTX84921
Anti-AK5 antibody [2F9] used in Flow cytometry (FCM). GTX84921
Anti-AK5 antibody [2F9] used in IHC (Paraffin sections) (IHC-P). GTX84921
Anti-AK5 antibody [2F9] used in IHC (Paraffin sections) (IHC-P). GTX84921
Anti-AK5 antibody [2F9] used in IHC (Paraffin sections) (IHC-P). GTX84921
Anti-AK5 antibody [2F9] used in Flow cytometry (FCM). GTX84921
Anti-AK5 antibody [2F9] used in IHC (Paraffin sections) (IHC-P). GTX84921
Anti-AK5 antibody [2F9] used in IHC (Paraffin sections) (IHC-P). GTX84921
Anti-AK5 antibody [2F9] used in IHC (Paraffin sections) (IHC-P). GTX84921
Anti-AK5 antibody [2F9] used in IHC (Paraffin sections) (IHC-P). GTX84921
Anti-AK5 antibody [2F9] used in IHC (Paraffin sections) (IHC-P). GTX84921
Anti-AK5 antibody [2F9] used in IHC (Paraffin sections) (IHC-P). GTX84921
Anti-AK5 antibody [2F9] used in IHC (Paraffin sections) (IHC-P). GTX84921
Anti-AK5 antibody [2F9] used in IHC (Paraffin sections) (IHC-P). GTX84921
Anti-AK5 antibody [2F9] used in Immunocytochemistry/ Immunofluorescence (ICC/IF). GTX84921
Anti-AK5 antibody [2F9] used in IHC (Paraffin sections) (IHC-P). GTX84921
Anti-AK5 antibody [2F9] used in IHC (Paraffin sections) (IHC-P). GTX84921
Anti-AK5 antibody [2F9] used in IHC (Paraffin sections) (IHC-P). GTX84921
Anti-AK5 antibody [2F9] used in IHC (Paraffin sections) (IHC-P). GTX84921
  • Host
    Mouse
  • Clonality
    Monoclonal
  • Clone Name
    2F9
  • Isotype
    IgG2b
  • Applications
    WB ICC/IF IHC-P FCM
  • Reactivity
    Human
See all AK5 products