AKT2 antibody [4H7]

Cat. No. GTX84908
Cat. No.  GTX84908
Anti-AKT2 antibody [4H7] used in IHC (Paraffin sections) (IHC-P). GTX84908
GTX84908 IHC-P Image

IHC-P analysis of human liver tissue using GTX84908 AKT2 antibody [4H7].
Antigen retrieval : Heat-induced epitope retrieval by 10mM citrate buffer, pH6.0, 100ºC for 10min.

1 / 8
Anti-AKT2 antibody [4H7] used in Flow cytometry (FCM). GTX84908
GTX84908 FCM Image

FACS analysis of Jurkat cells using GTX84908 AKT2 antibody [4H7].
Red : Primary antibody
Blue : Negative control antibody

2 / 8
Anti-AKT2 antibody [4H7] used in Immunocytochemistry/ Immunofluorescence (ICC/IF). GTX84908
GTX84908 ICC/IF Image

ICC/IF analysis of COS7 cells transiently transfected with AKT2 plasmid using GTX84908 AKT2 antibody [4H7].

3 / 8
Anti-AKT2 antibody [4H7] used in Immunocytochemistry/ Immunofluorescence (ICC/IF). GTX84908
GTX84908 ICC/IF Image

ICC/IF analysis of HepG2 cells using GTX84908 AKT2 antibody [4H7].

4 / 8
Anti-AKT2 antibody [4H7] used in IHC (Paraffin sections) (IHC-P). GTX84908
GTX84908 IHC-P Image

IHC-P analysis of human kidney tissue using GTX84908 AKT2 antibody [4H7].
Antigen retrieval : Heat-induced epitope retrieval by 10mM citrate buffer, pH6.0, 100ºC for 10min.

5 / 8
Anti-AKT2 antibody [4H7] used in Western Blot (WB). GTX84908
GTX84908 WB Image

WB analysis of HEK293T cells transfected with AKT2 plasmid (Right) or empty vector (Left) for 48 hrs using GTX84908 AKT2 antibody [4H7].
Loading : 5 ug per lane

6 / 8
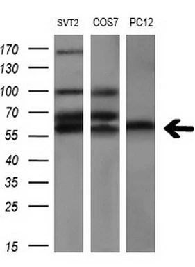
Anti-AKT2 antibody [4H7] used in Western Blot (WB). GTX84908
GTX84908 WB Image

WB analysis of various cell lines using GTX84908 AKT2 antibody [4H7].
Loading : 10 ug per lane
Dilution : 1:200

7 / 8
Anti-AKT2 antibody [4H7] used in Flow cytometry (FCM). GTX84908
GTX84908 FCM Image

FACS analysis of HeLa cells using GTX84908 AKT2 antibody [4H7].
Red : Primary antibody
Blue : Negative control antibody

8 / 8
Anti-AKT2 antibody [4H7] used in IHC (Paraffin sections) (IHC-P). GTX84908
Anti-AKT2 antibody [4H7] used in Flow cytometry (FCM). GTX84908
Anti-AKT2 antibody [4H7] used in Immunocytochemistry/ Immunofluorescence (ICC/IF). GTX84908
Anti-AKT2 antibody [4H7] used in Immunocytochemistry/ Immunofluorescence (ICC/IF). GTX84908
Anti-AKT2 antibody [4H7] used in IHC (Paraffin sections) (IHC-P). GTX84908
Anti-AKT2 antibody [4H7] used in Western Blot (WB). GTX84908
Anti-AKT2 antibody [4H7] used in Western Blot (WB). GTX84908
Anti-AKT2 antibody [4H7] used in Flow cytometry (FCM). GTX84908
  • Host
    Mouse
  • Clonality
    Monoclonal
  • Clone Name
    4H7
  • Isotype
    IgG1
  • Applications
    WB ICC/IF IHC-P FCM
  • Reactivity
    Human, Mouse, Rat, Monkey
See all AKT2 products