AKT3 antibody

Cat. No. GTX113312
Cat. No.  GTX113312
Anti-AKT3 antibody used in Western Blot (WB). GTX113312
GTX113312 WB Image

Non-transfected (–) and transfected (+) 293T whole cell extracts (30 μg) were separated by 10% SDS-PAGE, and the membrane was blotted with AKT3 antibody (GTX113312) diluted at 1:1000. The HRP-conjugated anti-rabbit IgG antibody (GTX213110-01) was used to detect the primary antibody.

1 / 5
Anti-AKT3 antibody used in Immunocytochemistry/ Immunofluorescence (ICC/IF). GTX113312
GTX113312 ICC/IF Image

AKT3 antibody detects AKT3 protein at cytoplasm by immunofluorescent analysis.
Sample: HeLa cells were fixed in 4% paraformaldehyde at RT for 15 min.
Green: AKT3 stained by AKT3 antibody (GTX113312) diluted at 1:500.
Blue: Hoechst 33342 staining.
Scale bar= 10 μm.

2 / 5
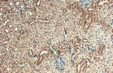
Anti-AKT3 antibody used in IHC (Paraffin sections) (IHC-P). GTX113312
GTX113312 IHC-P Image

AKT3 antibody detects AKT3 protein at nucleus by immunohistochemical analysis.
Sample: Paraffin-embedded mouse kidney.
AKT3 stained by AKT3 antibody (GTX113312) diluted at 1:500.
Antigen Retrieval: Citrate buffer, pH 6.0, 15 min

3 / 5
Anti-AKT3 antibody used in Western Blot (WB). GTX113312
GTX113312 WB Image

Sample (50 μg of whole cell lysate)
A: Mouse brain
7.5% SDS PAGE
GTX113312 diluted at 1:1000
The HRP-conjugated anti-rabbit IgG antibody (GTX213110-01) was used to detect the primary antibody.

4 / 5
Anti-AKT3 antibody used in Western Blot (WB). GTX113312
GTX113312 WB Image

Various whole cell extracts (30 μg) were separated by 10% SDS-PAGE, and the membrane was blotted with AKT3 antibody (GTX113312) diluted at 1:1000. The HRP-conjugated anti-rabbit IgG antibody (GTX213110-01) was used to detect the primary antibody, and the signal was developed with Trident ECL plus-Enhanced.

5 / 5
Anti-AKT3 antibody used in Western Blot (WB). GTX113312
Anti-AKT3 antibody used in Immunocytochemistry/ Immunofluorescence (ICC/IF). GTX113312
Anti-AKT3 antibody used in IHC (Paraffin sections) (IHC-P). GTX113312
Anti-AKT3 antibody used in Western Blot (WB). GTX113312
Anti-AKT3 antibody used in Western Blot (WB). GTX113312
  • Host
    Rabbit
  • Clonality
    Polyclonal
  • Isotype
    IgG
  • Applications
    WB ICC/IF IHC-P
  • Reactivity
    Human, Mouse
See all AKT3 products