ALDH1A1 antibody, Internal

Cat. No. GTX89404
Cat. No.  GTX89404
Anti-ALDH1A1 antibody, Internal used in Western Blot (WB). GTX89404
GTX89404 WB Image

WB analysis of HEK293 overexpressing ALDH1A1 (mock transfection in first lane) using GTX89404 ALDH1A1 antibody, Internal.

1 / 3
Anti-ALDH1A1 antibody, Internal used in Western Blot (WB). GTX89404
GTX89404 WB Image

WB analysis of human liver lysate using GTX89404 ALDH1A1 antibody, Internal.
Dilution : 1μg/ml
Loading : 35μg protein in RIPA buffer

2 / 3
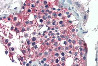
Anti-ALDH1A1 antibody, Internal used in IHC (Paraffin sections) (IHC-P). GTX89404
GTX89404 IHC-P Image

IHC-P analysis of human testis using GTX89404 ALDH1A1 antibody, Internal.
Antigen retrieval : citrate buffer pH 6
Dilution : 5μg/ml

3 / 3
Anti-ALDH1A1 antibody, Internal used in Western Blot (WB). GTX89404
Anti-ALDH1A1 antibody, Internal used in Western Blot (WB). GTX89404
Anti-ALDH1A1 antibody, Internal used in IHC (Paraffin sections) (IHC-P). GTX89404
  • Host
    Goat
  • Clonality
    Polyclonal
  • Isotype
    IgG
  • Applications
    WB IHC-P
  • Reactivity
    Human
See all ALDH1A1 products