ALDH2 antibody [AT2C10]

Cat. No. GTX57696
Cat. No.  GTX57696
Anti-ALDH2 antibody [AT2C10] used in Western Blot (WB). GTX57696
GTX57696 WB Image

WB analysis of various samples using GTX57696 ALDH2 antibody.
Lane 1 : HepG2 whole cell lysate
Lane 2 : Mouse liver tissue lysate
Lane 3 : Mouse lung tissue lysate
Dilution : 1:1000

1 / 3
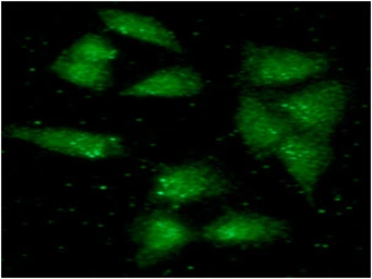
Anti-ALDH2 antibody [AT2C10] used in Immunocytochemistry/ Immunofluorescence (ICC/IF). GTX57696
GTX57696 ICC/IF Image

ICC/IF analysis of A549 cells using GTX57696 ALDH2 antibody.

Green: Primary antibody
Dilution: 1:100

2 / 3
Anti-ALDH2 antibody [AT2C10] used in Western Blot (WB). GTX57696
GTX57696 WB Image

WB analysis of various samples using GTX57696 ALDH2 antibody.
Lane 1 : 293T cell lysate
Lane 2 : ALDH2 transfected 293T cell lysate
Loading : 40 μg
Dilution : 1:500

3 / 3
Anti-ALDH2 antibody [AT2C10] used in Western Blot (WB). GTX57696
Anti-ALDH2 antibody [AT2C10] used in Immunocytochemistry/ Immunofluorescence (ICC/IF). GTX57696
Anti-ALDH2 antibody [AT2C10] used in Western Blot (WB). GTX57696
  • Host
    Mouse
  • Clonality
    Monoclonal
  • Clone Name
    AT2C10
  • Isotype
    IgG2a
  • Applications
    WB ICC/IF
  • Reactivity
    Human, Mouse
See all ALDH2 products