AMH antibody [5/6]

Cat. No. GTX42794
Cat. No.  GTX42794
Anti-AMH antibody [5/6] used in IHC (Paraffin sections) (IHC-P). GTX42794
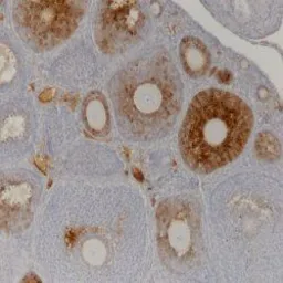
GTX42794 IHC-P Image

IHC-P analysis of ovarian tissue section from a 25 day old mouse using GTX42794 AMH antibody [5/6].

1 / 1
Anti-AMH antibody [5/6] used in IHC (Paraffin sections) (IHC-P). GTX42794
  • Host
    Mouse
  • Clonality
    Monoclonal
  • Clone Name
    5/6
  • Isotype
    IgG1
  • Applications
    WB IHC-P IHC
  • Reactivity
    Human, Mouse, Rat, Sheep, Baboon, Squirrel monkey
See all AMH products