AMH antibody, Internal

Cat. No. GTX45442
Cat. No.  GTX45442
Anti-AMH antibody, Internal used in Western Blot (WB). GTX45442
GTX45442 WB Image

WB analysis of human fetal lung tissue using GTX45442 AMH antibody at 1μg/ml.

1 / 3
Anti-AMH antibody, Internal used in Western Blot (WB). GTX45442
GTX45442 WB Image

WB analysis of human fetal small intestine tissue using GTX45442 AMH antibody at 1μg/ml.

2 / 3
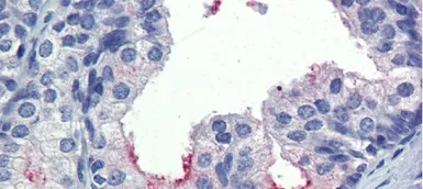
Anti-AMH antibody, Internal used in IHC (Paraffin sections) (IHC-P). GTX45442
GTX45442 IHC-P Image

IHC-P analysis of human prostate tissue using GTX45442 AMH antibody at 5.0μg/ml.

3 / 3
Anti-AMH antibody, Internal used in Western Blot (WB). GTX45442
Anti-AMH antibody, Internal used in Western Blot (WB). GTX45442
Anti-AMH antibody, Internal used in IHC (Paraffin sections) (IHC-P). GTX45442
  • Host
    Rabbit
  • Clonality
    Polyclonal
  • Isotype
    IgG
  • Applications
    WB IHC-P
  • Reactivity
    Human
See all AMH products