AMPK alpha 1 (phospho Thr174) antibody

Cat. No. GTX79143
Cat. No.  GTX79143
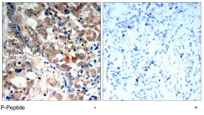
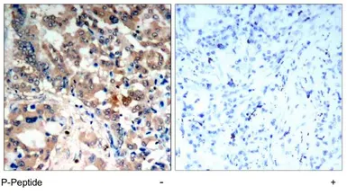
Anti-AMPK alpha 1 (phospho Thr174) antibody used in IHC (Paraffin sections) (IHC-P). GTX79143
GTX79143 IHC-P Image

IHC-P analysis of human lung carcinoma tissue using GTX79143 AMPK alpha 1 (phospho Thr174) antibody.

1 / 1
Anti-AMPK alpha 1 (phospho Thr174) antibody used in IHC (Paraffin sections) (IHC-P). GTX79143
  • Host
    Rabbit
  • Clonality
    Polyclonal
  • Isotype
    IgG
  • Applications
    IHC-P
  • Reactivity
    Human
See all AMPK alpha 1 products