ANP32B antibody

Cat. No. GTX115437
Cat. No.  GTX115437
Anti-ANP32B antibody used in Western Blot (WB). GTX115437
GTX115437 WB Image

Sample (30 ug of whole cell lysate)
A: Jurkat
12% SDS PAGE
GTX115437 diluted at 1:1000

1 / 2
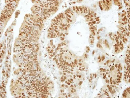
Anti-ANP32B antibody used in IHC (Paraffin sections) (IHC-P). GTX115437
GTX115437 IHC-P Image

Immunohistochemical analysis of paraffin-embedded human colon carcinoma, using ANP32B(GTX115437) antibody at 1:250 dilution.
Antigen Retrieval: Trilogy™ (EDTA based, pH 8.0) buffer, 15min

2 / 2
Anti-ANP32B antibody used in Western Blot (WB). GTX115437
Anti-ANP32B antibody used in IHC (Paraffin sections) (IHC-P). GTX115437
  • Host
    Rabbit
  • Clonality
    Polyclonal
  • Isotype
    IgG
  • Applications
    WB IHC-P
  • Reactivity
    Human
See all ANP32B products