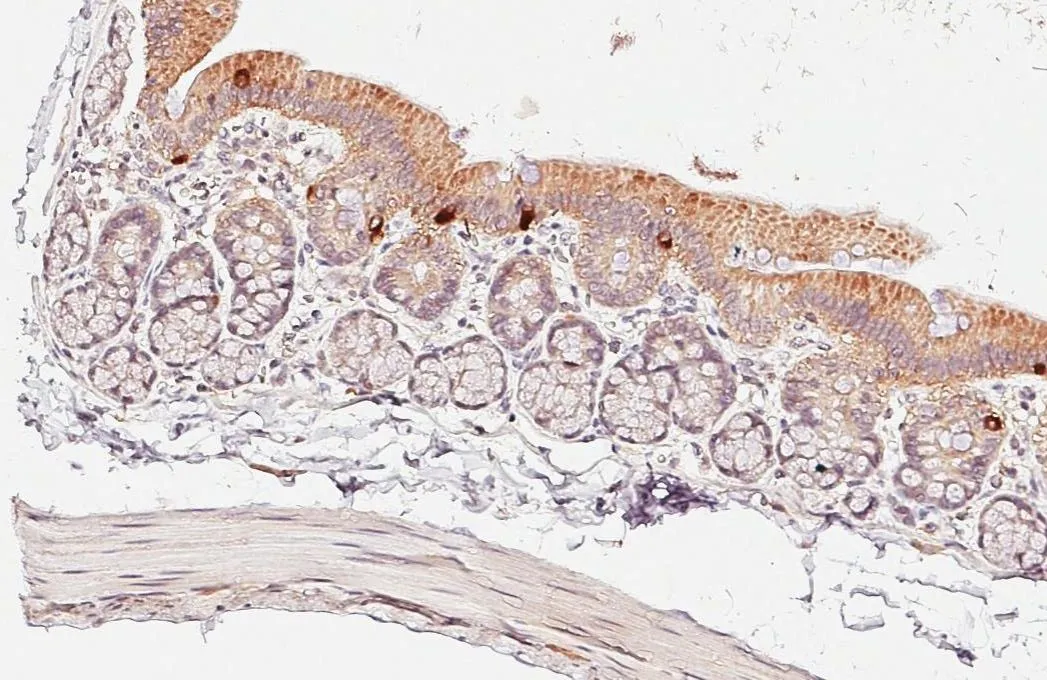
APC antibody [C3], C-term
Cat. No. GTX116009
Cat. No. GTX116009
-
HostRabbit
-
ClonalityPolyclonal
-
IsotypeIgG
-
ApplicationsWB IHC-P IHC
-
ReactivityHuman, Mouse, Rat