APOBEC3G antibody

Cat. No. GTX85084
Cat. No.  GTX85084
Anti-APOBEC3G antibody used in IHC (Paraffin sections) (IHC-P). GTX85084
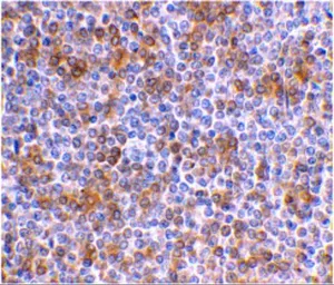
GTX85084 IHC-P Image

IHC-P analysis of human spleen tissue using GTX85084 APOBEC3G antibody.
Working concentration : 1 μg/ml

1 / 2
Anti-APOBEC3G antibody used in Western Blot (WB). GTX85084
GTX85084 WB Image

WB analysis of Caco-2 cell lysate in the (A)absence and (B) presence of blocking peptide using GTX85084 APOBEC3G antibody.
Working concentration : 5 μg/ml

2 / 2
Anti-APOBEC3G antibody used in IHC (Paraffin sections) (IHC-P). GTX85084
Anti-APOBEC3G antibody used in Western Blot (WB). GTX85084
  • Host
    Rabbit
  • Clonality
    Polyclonal
  • Isotype
    IgG
  • Applications
    WB IHC-P ELISA
  • Reactivity
    Human
See all APOBEC3G products