ARHGEF10 antibody

Cat. No. GTX87755
Cat. No.  GTX87755
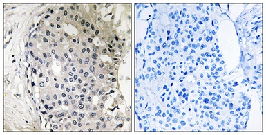
Anti-ARHGEF10 antibody used in IHC (Paraffin sections) (IHC-P). GTX87755
GTX87755 IHC-P Image

IHC-P analysis of human breast carcinoma tissue using GTX87755 ARHGEF10 antibody. The picture on the right is blocked with the synthesized peptide.

1 / 2
Anti-ARHGEF10 antibody used in Western Blot (WB). GTX87755
GTX87755 WB Image

WB analysis of COS7 cell lysates using GTX87755 ARHGEF10 antibody. The lane on the right is blocked with the synthesized peptide.

2 / 2
Anti-ARHGEF10 antibody used in IHC (Paraffin sections) (IHC-P). GTX87755
Anti-ARHGEF10 antibody used in Western Blot (WB). GTX87755
  • Host
    Rabbit
  • Clonality
    Polyclonal
  • Isotype
    IgG
  • Applications
    WB IHC-P
  • Reactivity
    Human, Monkey
See all ARHGEF10 products