ARID1A antibody [HL2304]

Cat. No. GTX638371
Cat. No.  GTX638371
Anti-ARID1A antibody [HL2304] used in Immunocytochemistry/ Immunofluorescence (ICC/IF). GTX638371
GTX638371 ICC/IF Image

ARID1A antibody [HL2304] detects ARID1A protein by immunofluorescent analysis.
Sample: SH-SY-5Y cells were fixed in 4% paraformaldehyde at RT for 15 min.
Green: ARID1A stained by ARID1A antibody [HL2304] (GTX638371) diluted at 1:500.
Red: alpha Tubulin, a cytoskeleton marker, stained by alpha Tubulin antibody [GT114] (GTX628802) diluted at 1:1000.

1 / 5
Anti-ARID1A antibody [HL2304] used in IHC (Paraffin sections) (IHC-P). GTX638371
GTX638371 IHC-P Image

ARID1A antibody [HL2304] detects ARID1A protein by immunohistochemical analysis.
Sample: Paraffin-embedded rat tissues.
ARID1A stained by ARID1A antibody [HL2304] (GTX638371) diluted at 1:500.
Antigen Retrieval: Citrate buffer, pH 6.0, 15 min

2 / 5
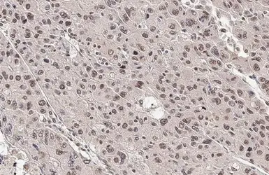
Anti-ARID1A antibody [HL2304] used in IHC (Paraffin sections) (IHC-P). GTX638371
GTX638371 IHC-P Image

ARID1A antibody [HL2304] detects ARID1A protein at nucleus by immunohistochemical analysis.
Sample: Paraffin-embedded human hepatocellular carcinoma.
ARID1A stained by ARID1A antibody [HL2304] (GTX638371) diluted at 1:500.
Antigen Retrieval: Citrate buffer, pH 6.0, 15 min

3 / 5
Anti-ARID1A antibody [HL2304] used in IHC (Paraffin sections) (IHC-P). GTX638371
GTX638371 IHC-P Image

ARID1A antibody [HL2304] detects ARID1A protein by immunohistochemical analysis.
Sample: Paraffin-embedded mouse tissues.
ARID1A stained by ARID1A antibody [HL2304] (GTX638371) diluted at 1:500.
Antigen Retrieval: Citrate buffer, pH 6.0, 15 min

4 / 5
Anti-ARID1A antibody [HL2304] used in Western Blot (WB). GTX638371
GTX638371 WB Image

Whole cell extract (30 μg) was separated by 5% SDS-PAGE, and the membrane was blotted with ARID1A antibody [HL2304] (GTX638371) diluted at 1:1000. The HRP-conjugated anti-rabbit IgG antibody (GTX213110-01) was used to detect the primary antibody.

5 / 5
Anti-ARID1A antibody [HL2304] used in Immunocytochemistry/ Immunofluorescence (ICC/IF). GTX638371
Anti-ARID1A antibody [HL2304] used in IHC (Paraffin sections) (IHC-P). GTX638371
Anti-ARID1A antibody [HL2304] used in IHC (Paraffin sections) (IHC-P). GTX638371
Anti-ARID1A antibody [HL2304] used in IHC (Paraffin sections) (IHC-P). GTX638371
Anti-ARID1A antibody [HL2304] used in Western Blot (WB). GTX638371
  • Host
    Rabbit
  • Clonality
    Monoclonal
  • Clone Name
    HL2304
  • Isotype
    IgG
  • Applications
    WB ICC/IF IHC-P
  • Reactivity
    Human, Mouse, Rat
See all ARID1A products