ARID1A antibody

Cat. No. GTX129433
Cat. No.  GTX129433
Anti-ARID1A antibody used in Immunoprecipitation (IP). GTX129433
GTX129433 IP Image

ARID1A antibody immunoprecipitates ARID1A protein in IP experiments.
IP samples: HepG2 whole cell extract
A. Control with 4 μg of preimmune Rabbit IgG
B. Immunoprecipitation of ARID1A protein by 4 μg ARID1A antibody (GTX129433)
5 % SDS-PAGE
The immunoprecipitated ARID1A protein was detected by ARID1A antibody (GTX129433) diluted at 1:500.
[EasyBlot anti-rabbit IgG (GTX221666-01) was used as a secondary reagent]

1 / 9
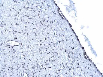
Anti-ARID1A antibody used in IHC (Paraffin sections) (IHC-P). GTX129433
GTX129433 IHC-P Image

ARID1A antibody detects ARID1A protein at nucleus on human cervical carcinoma by immunohistochemical analysis.
Sample: Paraffin-embedded human cervical carcinoma.
ARID1A antibody (GTX129433) dilution: 1:500.

Antigen Retrieval: Trilogy™ (EDTA based, pH 8.0) buffer, 15min

2 / 9
Anti-ARID1A antibody used in Western Blot (WB). GTX129433
GTX129433 WB Image

ARID1A antibody detects ARID1A protein by Western blot analysis.
A. 30 μg HepG2 whole cell extract
B. 30 μg HepG2 nuclear extract
5 % SDS-PAGE
ARID1A antibody (GTX129433) dilution: 1:1000

3 / 9
Anti-ARID1A antibody used in Western Blot (WB). GTX129433
GTX129433 WB Image

ARID1A antibody detects ARID1A protein by western blot analysis. Whole cell extracts (30 μg) was separated by 5% SDS-PAGE, and the membrane was blotted with ARID1A antibody (GTX129433) diluted by 1:1000.

4 / 9
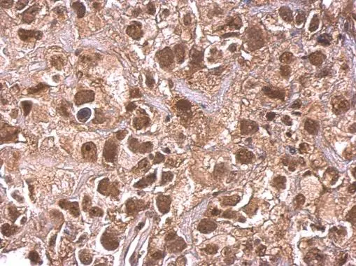
Anti-ARID1A antibody used in IHC (Paraffin sections) (IHC-P). GTX129433
GTX129433 IHC-P Image

ARID1A antibody detects ARID1A protein at nucleus on human endometrial carcinoma by immunohistochemical analysis.
Sample: Paraffin-embedded human endometrial carcinoma.
ARID1A antibody (GTX129433) diluted at 1:500.

Antigen Retrieval: Trilogy™ (EDTA based, pH 8.0) buffer, 15min

5 / 9
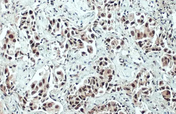
Anti-ARID1A antibody used in IHC (Paraffin sections) (IHC-P). GTX129433
GTX129433 IHC-P Image

ARID1A antibody detects ARID1A protein at nucleus by immunohistochemical analysis.
Sample: Paraffin-embedded human lung cancer.
ARID1A stained by ARID1A antibody (GTX129433) diluted at 1:500.
Antigen Retrieval: Citrate buffer, pH 6.0, 15 min

6 / 9
Anti-ARID1A antibody used in Immunocytochemistry/ Immunofluorescence (ICC/IF). GTX129433
GTX129433 ICC/IF Image

ARID1A antibody detects ARID1A protein at nucleus by immunofluorescent analysis.
Sample: HeLa cells were fixed in 4% paraformaldehyde at RT for 15 min.
Green: ARID1A stained by ARID1A antibody (GTX129433) diluted at 1:500.
Red: alpha Tubulin, a cytoskeleton marker, stained by alpha Tubulin antibody [GT114] (GTX628802) diluted at 1:1000.
Scale bar= 10μm.

7 / 9
Anti-ARID1A antibody used in Western Blot (WB). GTX129433
GTX129433 WB Image

Various whole cell extracts (30 μg) were separated by 5% SDS-PAGE, and the membrane was blotted with ARID1A antibody (GTX129433) diluted at 1:1000. The HRP-conjugated anti-rabbit IgG antibody (GTX213110-01) was used to detect the primary antibody.

8 / 9
Anti-ARID1A antibody used in ChIP assay (ChIP assay). GTX129433
GTX129433 ChIP assay Image

The data was published in the journal Leukemia in 2019. PMID: 30858552

9 / 9
Anti-ARID1A antibody used in Immunoprecipitation (IP). GTX129433
Anti-ARID1A antibody used in IHC (Paraffin sections) (IHC-P). GTX129433
Anti-ARID1A antibody used in Western Blot (WB). GTX129433
Anti-ARID1A antibody used in Western Blot (WB). GTX129433
Anti-ARID1A antibody used in IHC (Paraffin sections) (IHC-P). GTX129433
Anti-ARID1A antibody used in IHC (Paraffin sections) (IHC-P). GTX129433
Anti-ARID1A antibody used in Immunocytochemistry/ Immunofluorescence (ICC/IF). GTX129433
Anti-ARID1A antibody used in Western Blot (WB). GTX129433
Anti-ARID1A antibody used in ChIP assay (ChIP assay). GTX129433
  • Host
    Rabbit
  • Clonality
    Polyclonal
  • Isotype
    IgG
  • Applications
    WB ICC/IF IHC-P IP ChIP assay
  • Reactivity
    Human, Mouse
See all ARID1A products