ARID5B antibody

Cat. No. GTX131249
Cat. No.  GTX131249
Anti-ARID5B antibody used in Western Blot (WB). GTX131249
GTX131249 WB Image

HeLa whole cell and nuclear extracts (30 μg) were separated by 5% SDS-PAGE, and the membrane was blotted with ARID5B antibody (GTX131249) diluted at 1:1000. The HRP-conjugated anti-rabbit IgG antibody (GTX213110-01) was used to detect the primary antibody.

1 / 4
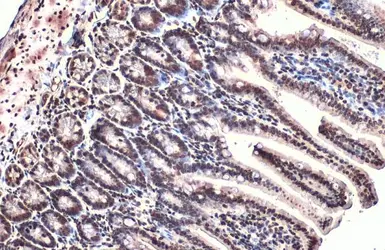
Anti-ARID5B antibody used in IHC (Paraffin sections) (IHC-P). GTX131249
GTX131249 IHC-P Image

ARID5B antibody detects ARID5B protein at nucleus by immunohistochemical analysis.
Sample: Paraffin-embedded mouse intestine.
ARID5B stained by ARID5B antibody (GTX131249) diluted at 1:500.
Antigen Retrieval: Citrate buffer, pH 6.0, 15 min

2 / 4
Anti-ARID5B antibody used in Immunocytochemistry/ Immunofluorescence (ICC/IF). GTX131249
GTX131249 ICC/IF Image

ARID5B antibody detects ARID5B protein at nucleus by immunofluorescent analysis.
Sample: HeLa cells were fixed in 4% paraformaldehyde at RT for 15 min.
Green: ARID5B stained by ARID5B antibody (GTX131249) diluted at 1:500.
Red: alpha Tubulin, a cytoskeleton marker, stained by alpha Tubulin antibody [GT114] (GTX628802) diluted at 1:1000.
Blue: Fluoroshield with DAPI (GTX30920).

3 / 4
Anti-ARID5B antibody used in IHC (Paraffin sections) (IHC-P). GTX131249
GTX131249 IHC-P Image

ARID5B antibody detects ARID5B protein at nucleus by immunohistochemical analysis.
Sample: Paraffin-embedded mouse intestine.
ARID5B stained by ARID5B antibody (GTX131249) diluted at 1:500.
Antigen Retrieval: Citrate buffer, pH 6.0, 15 min

4 / 4
Anti-ARID5B antibody used in Western Blot (WB). GTX131249
Anti-ARID5B antibody used in IHC (Paraffin sections) (IHC-P). GTX131249
Anti-ARID5B antibody used in Immunocytochemistry/ Immunofluorescence (ICC/IF). GTX131249
Anti-ARID5B antibody used in IHC (Paraffin sections) (IHC-P). GTX131249
  • Host
    Rabbit
  • Clonality
    Polyclonal
  • Isotype
    IgG
  • Applications
    WB ICC/IF IHC-P
  • Reactivity
    Human, Mouse
See all ARID5B products