ARMET antibody

Cat. No. GTX31324
Cat. No.  GTX31324
Anti-ARMET antibody used in Western Blot (WB). GTX31324
GTX31324 WB Image

WB analysis of HEK293T cell or ARMET KO cell lysates using GTX31324 ARMET antibody.
Dilution : 1μg/mL
Loading : 10μg

1 / 5
Anti-ARMET antibody used in IHC (Paraffin sections) (IHC-P). GTX31324
GTX31324 IHC-P Image

IHC-P analysis of human brain tissue using GTX31324 ARMET antibody.
Working concentration : 2.5 μg/ml

2 / 5
Anti-ARMET antibody used in IHC (Paraffin sections) (IHC-P). GTX31324
GTX31324 IHC-P Image

IHC-P analysis of human brain tissue using GTX31324 ARMET antibody.
Working concentration : 20 μg/ml

3 / 5
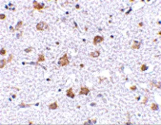
Anti-ARMET antibody used in IHC (Paraffin sections) (IHC-P). GTX31324
GTX31324 IHC-P Image

IHC-P analysis of human brain tissue using GTX31324 ARMET antibody.
Working concentration : 2.5 μg/ml

4 / 5
Anti-ARMET antibody used in Western Blot (WB). GTX31324
GTX31324 WB Image

WB analysis of mouse brain tissue lysate using GTX31324 ARMET antibody.
Working concentration : (A) 1 and (B) 2 μg/ml

5 / 5
Anti-ARMET antibody used in Western Blot (WB). GTX31324
Anti-ARMET antibody used in IHC (Paraffin sections) (IHC-P). GTX31324
Anti-ARMET antibody used in IHC (Paraffin sections) (IHC-P). GTX31324
Anti-ARMET antibody used in IHC (Paraffin sections) (IHC-P). GTX31324
Anti-ARMET antibody used in Western Blot (WB). GTX31324
  • Host
    Rabbit
  • Clonality
    Polyclonal
  • Isotype
    IgG
  • Applications
    WB IHC-P ELISA
  • Reactivity
    Human, Mouse, Rat
See all ARMET products