ARMET antibody

Cat. No. GTX31325
Cat. No.  GTX31325
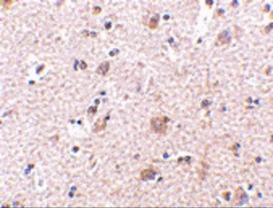
Anti-ARMET antibody used in IHC (Paraffin sections) (IHC-P). GTX31325
GTX31325 IHC-P Image

IHC-P analysis of human brain tissue using GTX31325 ARMET antibody.
Working concentration : 20 μg/ml

1 / 3
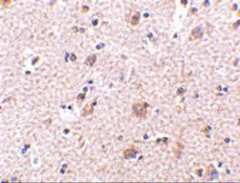
Anti-ARMET antibody used in IHC (Paraffin sections) (IHC-P). GTX31325
GTX31325 IHC-P Image

IHC-P analysis of human brain tissue using GTX31325 ARMET antibody.
Working concentration : 2.5 μg/ml

2 / 3
Anti-ARMET antibody used in Western Blot (WB). GTX31325
GTX31325 WB Image

WB analysis of rat brain tissue lysate using GTX31325 ARMET antibody.
Working concentration : (A) 1 and (B) 2 μg/ml

3 / 3
Anti-ARMET antibody used in IHC (Paraffin sections) (IHC-P). GTX31325
Anti-ARMET antibody used in IHC (Paraffin sections) (IHC-P). GTX31325
Anti-ARMET antibody used in Western Blot (WB). GTX31325
  • Host
    Rabbit
  • Clonality
    Polyclonal
  • Isotype
    IgG
  • Applications
    WB IHC-P ELISA
  • Reactivity
    Human, Mouse, Rat
See all ARMET products